右踝骨性关节炎

患者,男,17岁,扭伤致右踝关节肿痛活动受限3天.dr及ct如下
图片尺寸640x853
x14180右踝关节扭伤外踝痛请教各位老师
图片尺寸375x500
一例踝关节骨性关节炎并踝内翻,大家看看
图片尺寸2136x2472
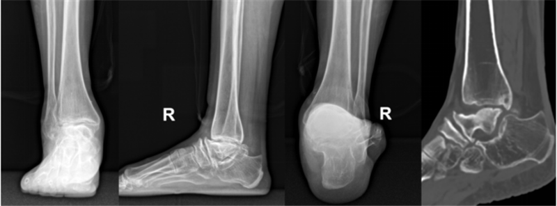
西安市红会医院完成一例高难度踝关节假体置换术_患者_梁晓军_关节炎
图片尺寸800x296
创伤性踝关节炎一例
图片尺寸1920x2560
小姑娘右踝关节间断疼痛半年余手术后病理科问影像考虑什么有结果
图片尺寸1420x2360
求助,7月前右踝关节不慎扭伤至今未愈
图片尺寸1920x2560
右踝关节病变
图片尺寸1041x2240
一例踝关节骨性关节炎并踝内翻,大家看看
图片尺寸1961x2392
我扭到右脚了,右脚 脚踝处疼,肿了,脚后跟有点疼,,跟之前扭到不一样
图片尺寸869x1439
现出现踝部疼痛,行走明显加重,踝关节背伸明显受限.
图片尺寸1598x1198
【请教】如何诊断,治疗这样的关节痛 痛性结节
图片尺寸4000x3000
x射线踝关节.
图片尺寸755x1200
求助,7月前右踝关节不慎扭伤至今未愈
图片尺寸1920x2560
踝关节疼痛,关节镜微创治疗 - 好大夫在线
图片尺寸2976x3968
这两天右脚踝无缘无故疼痛,第一天只是有点疼,第二天疼的都无法走路
图片尺寸3040x1824
骨关节炎致右脚活动受限,关节镜清理恢复正常
图片尺寸600x399
右脚脚踝内侧有一块骨头突出 很小的时候崴过一次 最近开始偶尔有点疼
图片尺寸768x1024
踝关节创伤性关节炎
图片尺寸1500x2000
足踝类风湿性关节炎的规范化治疗_类风湿性关节炎_介绍_发病原因_症状
图片尺寸2315x2633