右附件囊性包块

右附件长了个囊实性包块,有可能是恶性的,我好害怕,孩子还小,千万不要
图片尺寸828x554
右附件区囊性包块,什么意思
图片尺寸2448x3264
右附件区域囊性包块
图片尺寸1280x1706
右附件区囊性包块,什么意思
图片尺寸2448x3264
右侧附件区囊性包块有六年了现略长大点像这个情况怎么
图片尺寸1024x765
右侧附件区囊性包块(有病理)
图片尺寸768x576
右侧附件区囊性包块
图片尺寸1280x1706
右附件区可见大小约59x45mm囊性暗区
图片尺寸1080x1088
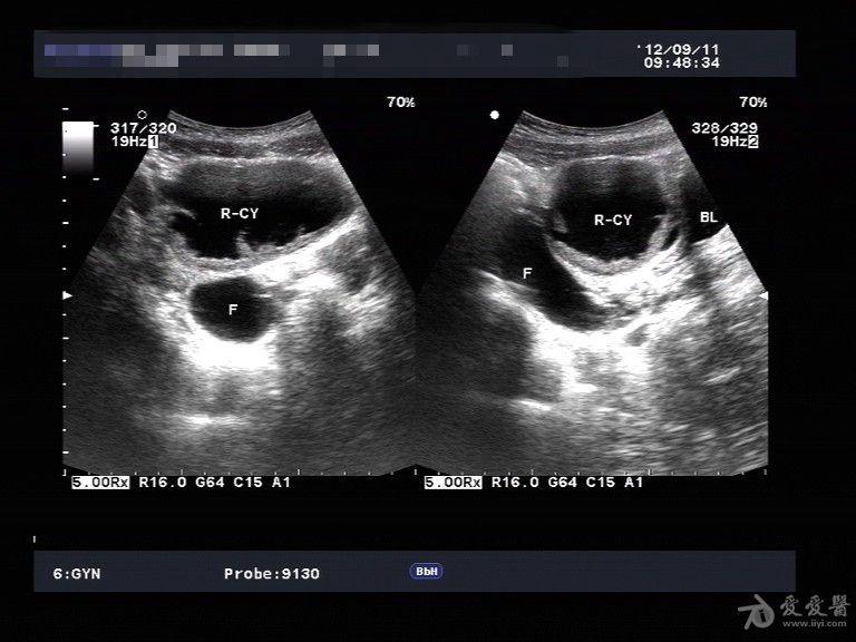
右附件囊性包块:异位妊娠?
图片尺寸4128x3096
右侧附件区囊性包块
图片尺寸1280x1706
p>附件区囊实性包块 br>右附件区5cm囊实性包块 br>忽然开始自己的
图片尺寸1280x1706
右附件囊性包块:异位妊娠?
图片尺寸4128x3096
右侧附件区囊性包块有病理
图片尺寸768x576
右侧附件区囊实性包块
图片尺寸720x576
子宫附件包块
图片尺寸1920x1716
卵巢混合回声 br>今年1月5号体检的时候发现右侧卵巢有个囊实性包块
图片尺寸1440x1920
右侧颈部巨大囊性包块
图片尺寸1920x1080
今日阴超结果:左侧附件囊实性包块
图片尺寸1012x1349
右附件囊性块
图片尺寸3264x2448
妇科查出左侧附件混合性包块,感觉好慌
图片尺寸1280x1280