吃糖的危害

糖过量的危害很大教你1分钟看懂
图片尺寸817x1365
糖的危害你知道吗
图片尺寸1010x1280
糖过量的危害很大教你1分钟看懂
图片尺寸1053x1384
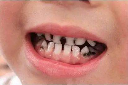
吃糖的危害
图片尺寸800x600
71吃糖只会让你变胖变丑 - 抖音
图片尺寸1242x1660
太喜欢吃甜食危害大怎么办
图片尺寸1080x1438
女生因过度吃甜食近视1500度!爱吃糖的危害,竟有这么多
图片尺寸413x274
养生身体需要控糖的信号糖过量的危害
图片尺寸1080x1439
【新华书店 送货上门】甜蜜的负担:吃糖的危害科普绘本 正版图书
图片尺寸800x800
首先为控糖的你点赞,说明你清晰的认识到了过多食用糖对人体的危害.
图片尺寸640x441
长期吃甜食的人了解一下甜食对人体的危害
图片尺寸640x853
惊过量果糖危害
图片尺寸1080x1439
营养师教你「这样吃糖」才安全_咏潮网
图片尺寸660x660
吃糖的危害堪比吸烟喝酒你给宝宝限糖了吗
图片尺寸1080x1439
身体需要控糖的信号糖过量危害1分钟看懂
图片尺寸1080x1440
糖尿病危害的组织器官
图片尺寸1080x810
糖是万病之源——它的危害竟被隐瞒了50年!
图片尺寸1080x1498
吃糖的危害有哪些呢控糖好吗
图片尺寸952x1269
996993今日分享:过度吃糖的危害|||吃糖会长胖大家都知道,这
图片尺寸600x798
宝宝多大可以吃糖丨一口糖从上到下毁全身
图片尺寸1080x1439