后牙槽

后槽牙怎么了黑了是坏了吗 平时感觉不大
图片尺寸3968x2976
拔牙5天后牙窝愈合过程图牙槽竟然如此神奇
图片尺寸450x424
后牙槽上的谜之黑线怎么才能刷干净
图片尺寸640x704
后牙槽上有着谜之黑线是刷牙没刷干净吗
图片尺寸570x254
后牙槽上有着谜之黑线是我没刷干净吗
图片尺寸640x274
后牙槽上有着谜之黑线是我没刷干净吗
图片尺寸641x428
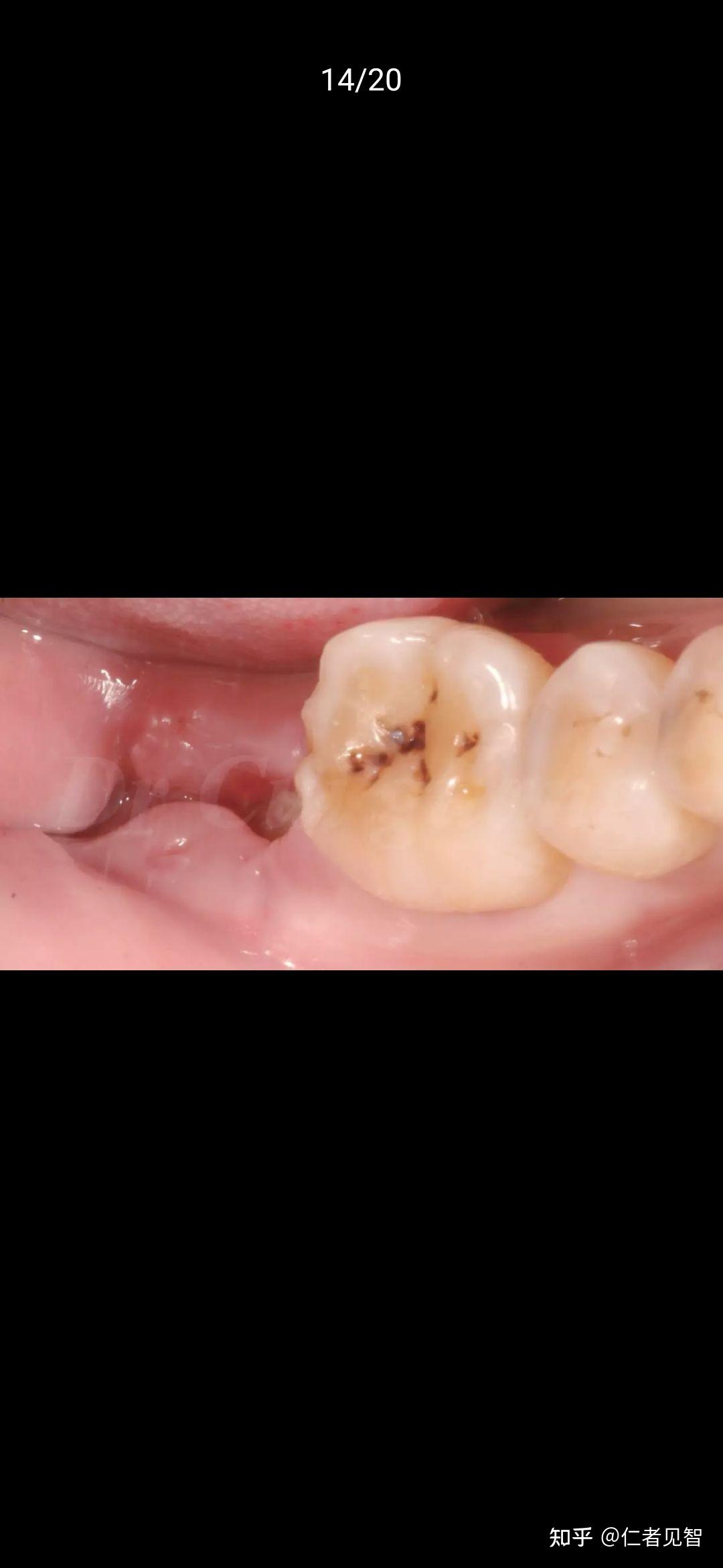
为什么拔牙后牙槽不会萎缩
图片尺寸1080x2340
拔牙打麻药对大脑有影响吗会不会变笨
图片尺寸597x292
记录拔牙后牙槽和牙龈的恢复过程 - 知乎
图片尺寸731x544
拔牙后第二天还是有持续轻微疼痛,牙槽里还有白色,牙龈外侧也发白了
图片尺寸1280x960
加快速度吸收,如果不赶紧解决这个缺牙问题,三个月后牙槽骨会被吸收了
图片尺寸450x300
拔牙后牙槽窝的复位和刮治:172.
图片尺寸1000x703
拔牙后得干槽症的牙洞是啥样的是不是灰白色
图片尺寸400x370
种植牙带上假牙后一个多月,牙槽骨萎缩有黑三角,一直感觉有点疼不舒服
图片尺寸2150x1250
拔智齿后那个洞臭到恶心,可能是牙神经坏死或者干槽症(要警惕) - 未解
图片尺寸550x350
后槽牙的种植过程这只不过是一个模型演示吗所以大家要爱护好自己牙齿
图片尺寸640x360
向牙槽窝的下牙槽血管神经管(拔牙前)牙拔除术后牙槽窝出血原因有两种
图片尺寸732x534
拔牙后旁边的牙疼,什么时候才能恢复?
图片尺寸640x449
牙槽骨吸收后的牙齿照片
图片尺寸500x249
【求助】18周岁患者反牙合正畸正颌联合治疗后牙槽骨吸收
图片尺寸3456x2304