后牙贴面

超薄全瓷贴面欣赏_美牙_牙齿贴面_通透感_全瓷贴面_美妆_医美整形
图片尺寸1080x1080
美加超薄美牙贴面
图片尺寸640x863
牙贴面影响正常的牙吗?网友说建议门牙千万不要做贴面是真的吗?
图片尺寸614x680
近距离看全瓷牙贴面的效果
图片尺寸900x1199
瓷贴面术后83天_牙贴面术后83天_烤瓷牙术后83天_牙齿美容术后83天_你
图片尺寸500x331
瓷贴面美白牙齿效果如何
图片尺寸826x337
市面上哪种牙贴面便宜又好美牙贴面对牙齿有啥后遗症
图片尺寸600x386
南宁牙齿贴面到底是什么美容神器
图片尺寸544x315
一,牙贴面的效果如何?
图片尺寸1124x750
牙贴面—案例_牙齿贴面_美妆_医美整形
图片尺寸1080x1438
牙贴面修复
图片尺寸700x577
牙齿贴面真的能救一张脸!
图片尺寸1080x1439
牙齿美白贴面前后对比7315_牙齿美白_薯条_牙齿贴面_美妆_医美
图片尺寸1000x1300
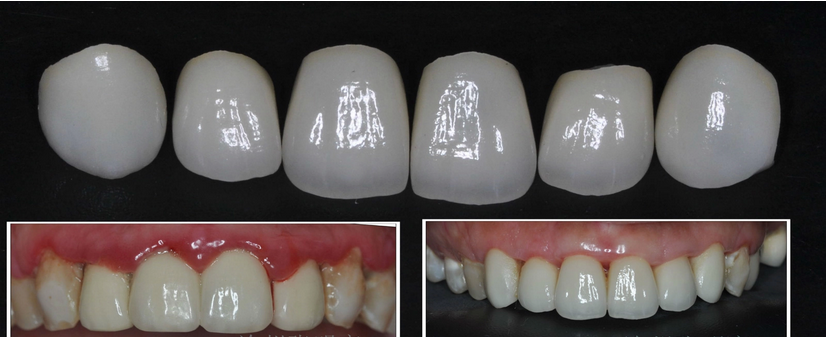
美加超薄美牙贴面粘接完成后口内即刻照
图片尺寸800x301
关于牙齿贴面
图片尺寸465x800
案例分享谈谈我牙齿贴面5年后的感受做超薄瓷贴面后悔竟是这原因
图片尺寸500x263
四环素牙做贴面美白后的效果对比
图片尺寸695x709
瓷贴面术后5天_牙贴面术后5天_牙齿美容术后5天_悦mer_815917分享图片
图片尺寸500x333
牙齿贴面让你告别尴尬的大黄牙06_牙齿贴面_美妆_医美整形
图片尺寸1080x1440
超薄牙贴面
图片尺寸1000x560