后牙 充填

声动树脂 印章法:后牙充填一例
图片尺寸409x309
后牙树脂临时充填杨栎仟
图片尺寸640x426
下颌后牙充填
图片尺寸640x986
后牙树脂充填一例
图片尺寸1166x560
全国决赛12强病例展示 廖俊 上颌后牙ii类洞纳美树脂充填一例_检查_松
图片尺寸1080x604
声动树脂 印章法:后牙充填一例
图片尺寸517x388
我的2022-右上后牙树脂充填一例
图片尺寸640x426
全国决赛12强病例展示 廖俊 上颌后牙ii类洞纳美树脂充填一例_检查_松
图片尺寸1080x607
后牙树脂临时充填杨栎仟
图片尺寸640x426
牙科德国voco玻璃离子 伊诺菲后牙充填玻璃离子 沃柯玻璃离子后牙
图片尺寸1984x1984
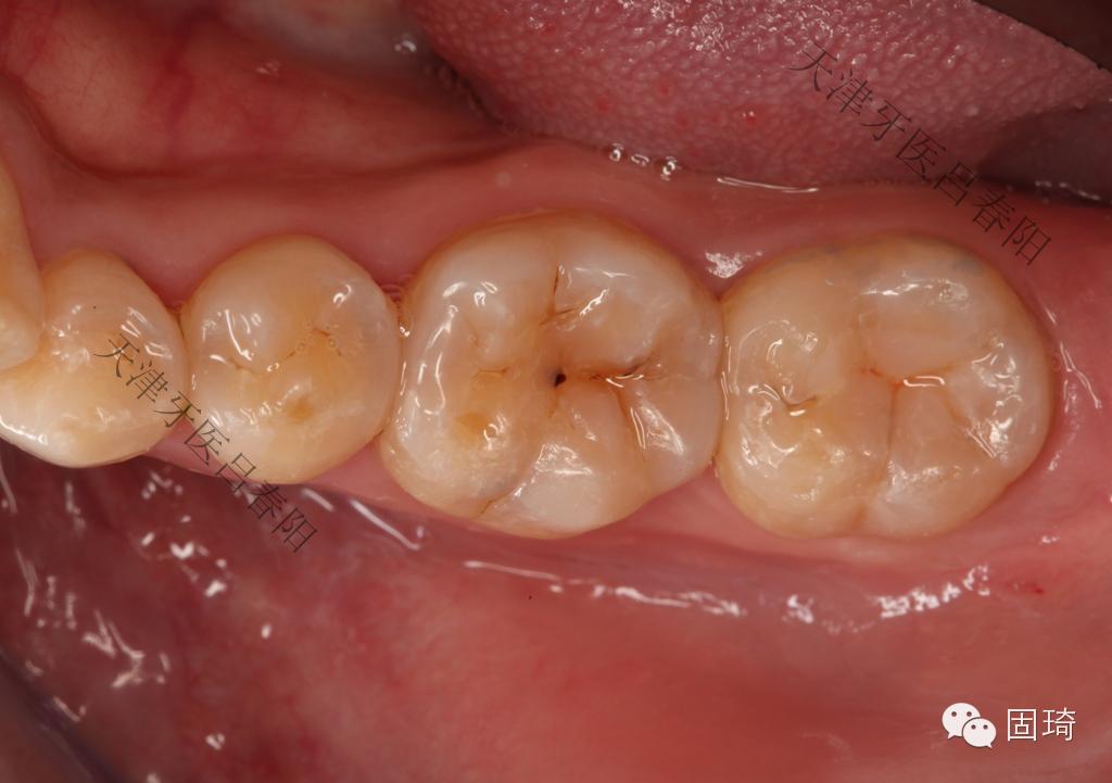
后牙意大利美学树脂充填体会—天津牙医吕春阳
图片尺寸1024x721
全国决赛12强病例展示 廖俊 上颌后牙ii类洞纳美树脂充填一例_检查_松
图片尺寸1080x607
后牙树脂充填
图片尺寸640x417
后牙树脂充填4—李明
图片尺寸640x853
后牙树脂临时充填杨栎仟
图片尺寸640x426
一例根管治疗后直接充填
图片尺寸640x792
两例下颌后牙不同类型深龋树脂充填的大胆尝试
图片尺寸620x449
声动树脂 印章法:后牙充填一例
图片尺寸1080x809
病例后牙美塑充填
图片尺寸583x437
后牙树脂充填3详细流程李明
图片尺寸640x425