后牙 前突

(图为单侧后牙反合一期矫治前后对比)
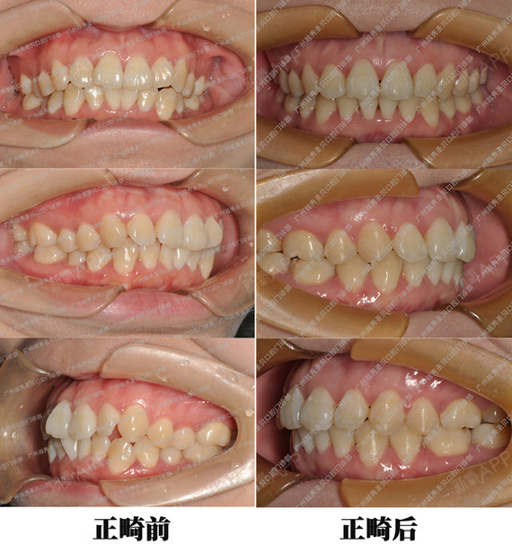
图片尺寸550x156
牙齿前突正畸2年后效果对比图 衡阳优伢仕口腔正畸案例分享 67上颌
图片尺寸960x1280
及时治疗前突的牙齿可减小这种风险.
图片尺寸326x220
导致龅牙前突的原因有哪些
图片尺寸700x498
上颌前突下巴后缩几岁矫正好
图片尺寸6000x4000
矫正前
图片尺寸1014x544
正畸病例改善前突面型病例1例
图片尺寸1028x1024
武汉牙齿矫正隐适美矫治骨性双颌前突下颌后旋中线不齐
图片尺寸2500x2500
牙齿扩弓十天后脸会变更凸扩牙弓前后脸型对照图说明一切
图片尺寸1000x460
凸嘴矫正对比二:牙齿前突 开颌
图片尺寸500x282
骨性前突和牙性前突怎么区分?龅牙病因详解
图片尺寸1080x764
广州圣贝口腔牙齿矫正案例分享这是经典双颌前突矫治案_圈子-新氧美容
图片尺寸570x606
(左图)治疗前,口内侧面照片可以看到牙齿前突; (右图)治疗后,牙齿前
图片尺寸646x307
后缩的成分,又有牙突的成分这种类型需要一方面解决牙齿前突的问题,另
图片尺寸1098x798
斯迈尔齿科牙齿前突正畸案例分享
图片尺寸1080x959
造成发音异常,后牙锁颌影响咀嚼功能,严重的下颌前突造成吞咽异常
图片尺寸640x325
门牙突出前后对比图
图片尺寸500x274
凸嘴矫正对比三:双颌牙齿前突 牙列不齐
图片尺寸500x224
牙齿矫正,前突,后牙咬合不良
图片尺寸904x605
整牙堪比整容郑州女生亲身经历告诉你牙美有多重要
图片尺寸1080x1500