后牙 美学

后牙美学直接修复病例解析
图片尺寸986x740
牙周病缺牙患者种植与固定修复一例 | 美学修复病例分享(8)_治疗_后牙
图片尺寸800x352
第4讲-后牙及楔状缺损的充填技巧——〔 王磊-带你玩转树脂美学系列课
图片尺寸1279x720
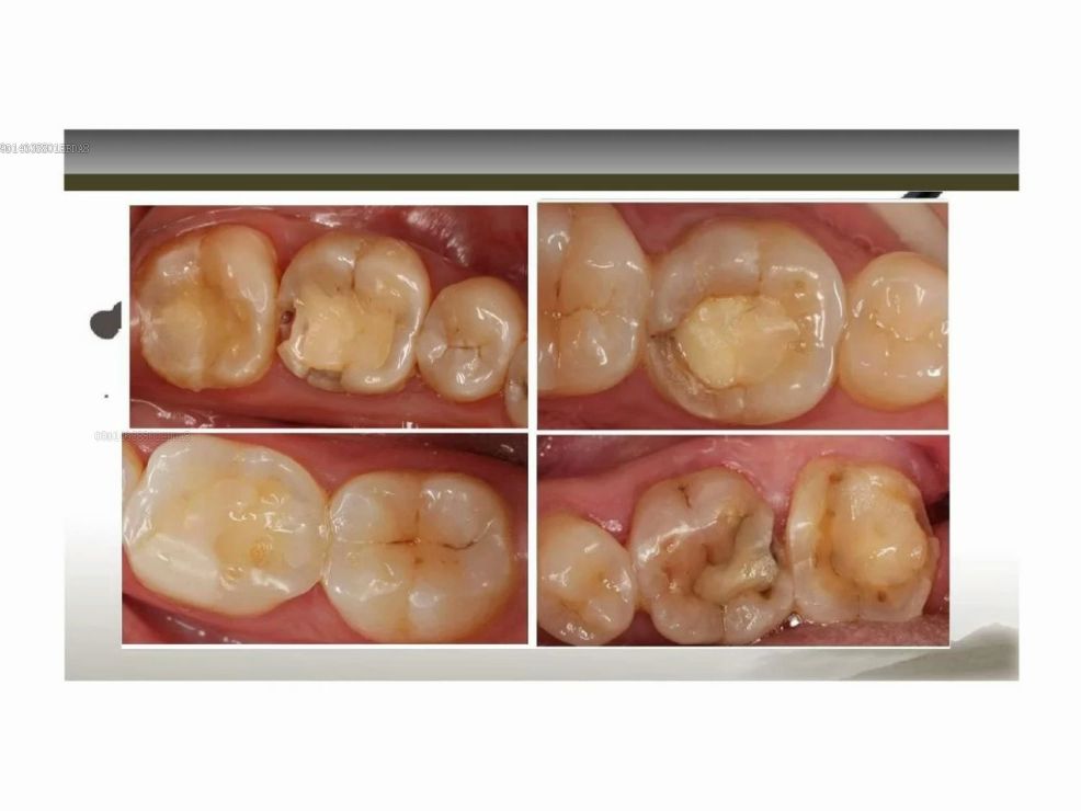
渡江口腔 优秀病例展示丨后牙龋损美学修复
图片尺寸700x377
csed口腔美学临床影像规范介绍和解读
图片尺寸400x270
后牙全冠修复一例 - 好大夫在线
图片尺寸1000x753
双侧后牙缺失
图片尺寸400x300
口腔后牙美学印花套装牙科印章重塑窝沟压花光固化树脂补牙修复用
图片尺寸800x800
全瓷牙美学修复
图片尺寸600x336
后牙rct格莱美3d全瓷牙修复
图片尺寸640x311
后牙美学树脂充填,坚固耐用,微创美观.
图片尺寸640x640
后牙缺损美学修复_补料
图片尺寸1110x720
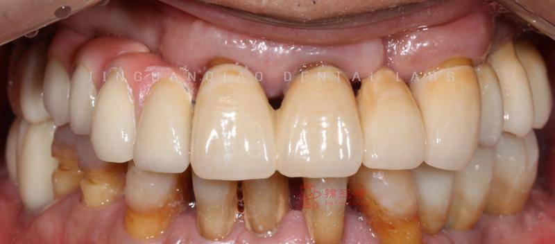
后牙种植固定义齿 - 好大夫在线
图片尺寸1124x824
我们咀嚼东西很多时候都是依靠后牙,后牙缺失
图片尺寸295x221
右下后牙反合树脂修复一例及相关思考
图片尺寸2400x1350
美加锆完美修复左上后牙
图片尺寸620x412
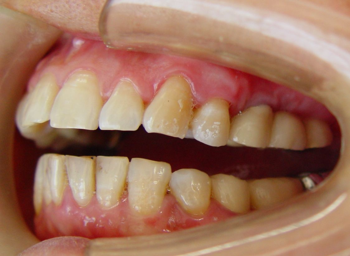
牙外伤后的美学修复 - 好大夫在线
图片尺寸1206x1022
后牙激光美学分层充填/后牙瓷化纳米树脂充填(颗)
图片尺寸335x218
下颌后牙充填
图片尺寸640x986
一例死髓牙美学修复
图片尺寸1591x994