后颅窝

后颅窝肿瘤
图片尺寸1080x810
颅窝的位置 颅前,中,后 窝位于哪里?
图片尺寸1080x810
胚胎后颅窝扩张(小脑延髓池增宽)_产前检查_产前检查介绍 - 好大夫
图片尺寸453x436
后颅窝异常的神经影像学表现
图片尺寸960x720
史永强主治医师,张鲁毅住院医师一起为患儿行后颅窝恶性肿瘤切除手术
图片尺寸474x438
后颅窝肿瘤诊断与鉴别诊断
图片尺寸837x776
后颅窝主要内容:小脑和脑干. 前界为鞍背和岩骨嵴. 后界至枕内粗隆.
图片尺寸550x601
后颅窝肿瘤诊断与鉴别诊断
图片尺寸853x876
后颅窝脑膜瘤引发的梗阻性脑积水脑室怎么治疗?
图片尺寸506x543
颅中窝的介绍
图片尺寸386x381
儿童后颅窝占位你想知道的全在这里
图片尺寸450x472
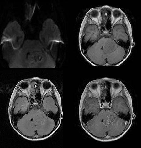
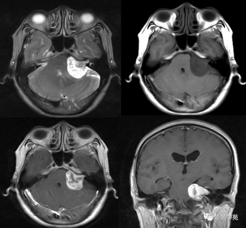
后颅窝常见肿瘤的诊断
图片尺寸1080x608
案例42颅后窝肿物
图片尺寸720x701
局部解剖 头颈部 颅 颅前窝 底 内 颅中窝 面 颅后窝 观
图片尺寸1080x810
后颅窝肿瘤诊断与鉴别诊断
图片尺寸1080x723
后颅窝肿瘤诊断与鉴别诊断
图片尺寸1049x721
后颅窝的解剖(1)
图片尺寸533x401
儿童后颅窝占位的影像
图片尺寸1080x379
后颅窝肿瘤诊断与鉴别诊断
图片尺寸983x722
手术技巧:经鼻内镜切除后颅窝腹侧脑膜瘤 - 好大夫在线
图片尺寸640x357