后颅窝蛛网膜囊肿

后颅窝蛛网膜囊肿,看要不要手术?
图片尺寸2212x2852
后颅窝蛛网膜囊肿,看要不要手术?
图片尺寸2200x2645
蛛网膜囊肿:是脑脊液在蛛网膜和软脑膜之间的腔隙内 - 抖音
图片尺寸880x1728
枕大池蛛网膜囊肿 是比较常见的一种蛛网膜囊肿,是良性的病变 - 兑趑
图片尺寸1080x1920
后颅窝蛛网膜囊肿
图片尺寸656x380
后颅窝蛛网膜囊肿,看要不要手术?
图片尺寸3006x1836
神奇小凝胶,后脑囊肿用3个月,5个月对比图, - 抖音
图片尺寸1440x1920
宝宝8个月摔跤做核磁查出左镊极蛛网膜囊肿,尺寸1.770152.
图片尺寸1920x2560
颅内囊肿1(蛛网膜囊肿)
图片尺寸1080x1443
颅后窝蛛网膜囊肿神经系统影像鉴别
图片尺寸443x516
真实存在于大脑里的蛛网膜囊肿
图片尺寸680x680
后颅窝蛛网膜囊肿,看要不要手术?
图片尺寸2835x1740
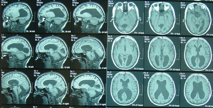
后颅窝枕大池蛛网膜囊肿,脑积水分流术后颅内感染,右侧肢体和头部震颤
图片尺寸747x381
后颅窝蛛网膜囊肿,看要不要手术?
图片尺寸2880x1746
6岁儿童蛛网膜囊肿脑室镜术致脑积水颅内感染昏迷左肢偏瘫,历经17次
图片尺寸640x504
蛛网膜囊肿神经内镜治疗,避免传统开颅的创伤,同时也避免分流带 - 抖
图片尺寸1920x1440
如何诊断颅内蛛网膜囊肿?
图片尺寸1080x1261
后颅窝蛛网膜囊肿,看要不要手术?
图片尺寸3070x1533
被北京某三甲医院体检时查颅脑ct发现"蛛网膜囊肿,中线偏移"(片子丢失
图片尺寸640x515
后脑勺皮下囊肿 后脑勺上长了一颗黄豆大小就囊肿 昨天上医院切除了
图片尺寸1280x1706