含牙囊肿x线

左上颌前牙区囊肿一例
图片尺寸2667x2000
含牙囊肿
图片尺寸640x293
科普|牙齿迟迟未萌 当心含牙囊肿!
图片尺寸433x477
倒置阻生智齿含牙囊肿1例
图片尺寸1007x622
含牙囊肿.#口腔科普 #知识科普 #今日分享 #医学科普 - 抖音
图片尺寸811x466
我的牙齿片子已经拍了医生说有一个大的囊肿请教怎么办
图片尺寸1498x1998
一例含牙囊肿摘除与埋伏牙牵引
图片尺寸640x228
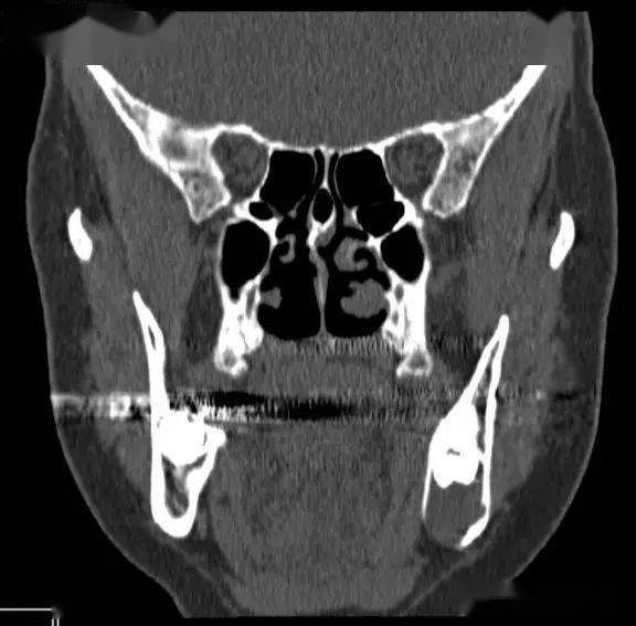
左上颌前牙区囊肿一例
图片尺寸3631x1980
小小年纪根尖囊肿看牙2个多月瘦了10斤拔牙7颗
图片尺寸800x800
华西口腔颌骨含牙囊肿
图片尺寸1080x809
上颌含牙囊肿,跪求医生给意见或是病友探讨
图片尺寸3648x2736
请问什么是牙齿囊肿啊已拔
图片尺寸1080x729
请问这张片下面牙齿下方的阴影是囊肿吗?严重吗?是不是一定要做手术?
图片尺寸3264x2448
看病例学影像,角化囊肿,含牙囊肿和根尖囊肿鉴别起来不费劲
图片尺寸497x890
典型的下颌骨含齿囊肿
图片尺寸1600x1200
含牙囊肿影像诊断
图片尺寸576x567
含牙囊肿影像诊断
图片尺寸515x576
昨天去口腔医院检查牙齿,拍片发现牙齿下面长了个囊肿,医生说需要手术
图片尺寸960x720
有没有牙齿囊肿的
图片尺寸478x395
上颌含牙囊肿,跪求医生给意见或是病友探讨
图片尺寸3648x2736