听神经瘤核磁

听神经瘤 - 微医(挂号网)
图片尺寸377x440
听神经瘤的诊断与治疗
图片尺寸943x980
一口 一孔 无牵拉微创切除桥小脑角肿瘤(听神经瘤,脑膜瘤)
图片尺寸2595x1717
年轻人单侧神经性耳聋,耳鸣,要注意听神经瘤的可能_听神经瘤_介绍
图片尺寸448x481
颅脑mri典型病例分享,如何诊断?颅脑mri典型病例分享,如 - 抖音
图片尺寸758x872
听神经瘤的发展过程分期_听神经瘤_疾病介绍_介绍 - 好大夫在线
图片尺寸3699x2093
70岁女性患者,右侧面部麻木1年,入院mri提示右侧听神经瘤.
图片尺寸2000x2667
大同市五医院神经外科市内率先开展术中神经电生理监测下大型听神经瘤
图片尺寸3264x1840
贺晓生教授听神经瘤切除手术中的面听神经保护
图片尺寸1500x1500
听神经瘤(acoustic neurinoma)病例库【磁共振之家】专一医学磁共振
图片尺寸760x860
华润武钢总医院仁心仁术丨让微笑绽放在听神经瘤患者的脸上
图片尺寸487x494
【病例分享】巨大囊性听神经瘤——唐都神经外科赵天智
图片尺寸1080x1246
47岁女士因痔疮住院,听力下降又查出听神经瘤!
图片尺寸1255x941
一例听神经瘤患者术前术后mr对比 - 好大夫在线
图片尺寸520x610
贺晓生教授右桥小脑角听神经瘤切除案例
图片尺寸1600x1200
潍坊市脑科医院神经肿瘤病区一例听神经瘤手术分享
图片尺寸2000x2666
听神经瘤手术全切,术后无面瘫 - 好大夫在线
图片尺寸4000x3000
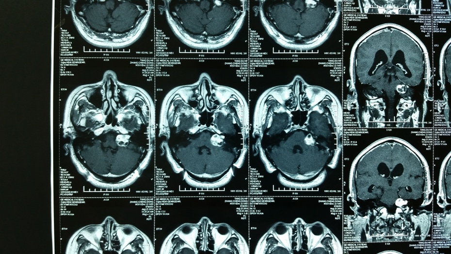
贺晓生听神经瘤切除术与术中面神经保护复查
图片尺寸930x523
关于听神经瘤的残余听力保留问题_听神经瘤_介绍_治疗方式 - 好大夫
图片尺寸4318x2211
无比开心的笑容,愉快的就医体验---年轻女性大型听神经瘤全切除后面
图片尺寸2896x1344