听神经瘤症状

听神经瘤是怎么查出来的?
图片尺寸640x426
持续单侧耳鸣须警惕听神经瘤
图片尺寸662x427
听神经瘤,不可怕!不要怕!
图片尺寸1280x1706
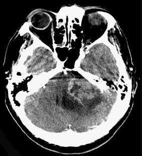
56岁男子右耳听力下降4年多,"元凶"原来是听神经瘤
图片尺寸1392x677
6cm听神经瘤,单侧耳鸣8年耳聋5年漏诊.慢性头痛头晕耳鸣听 - 抖音
图片尺寸900x1720
问:听神经瘤的早期症状有哪些?
图片尺寸650x652
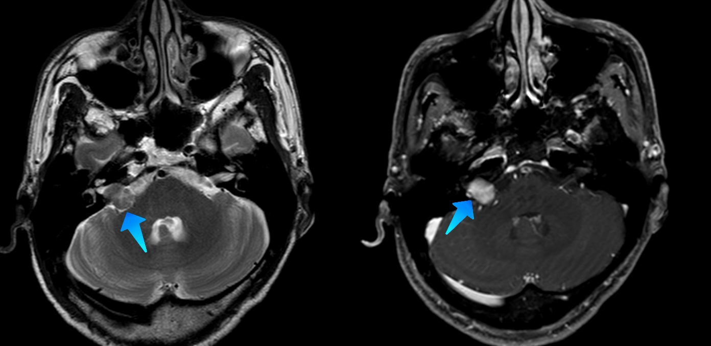
后颅窝占位听神经瘤
图片尺寸1096x1284
【高尚病例】听神经瘤 1 例
图片尺寸1080x1080
听神经瘤是怎么查出来的?
图片尺寸954x635
耳鸣耳鸣是听神经瘤常见早期症状,耳鸣常常是持续的,高调的,单侧的
图片尺寸630x370
听神经瘤
图片尺寸673x800
听神经瘤手术面神经保留完好,为什么术后也会出现面瘫?
图片尺寸1500x2000
提醒:身体出现4个症状表现,多半听神经瘤找上门,尽早就医
图片尺寸575x357
耳朵响,眩晕,当心听神经瘤!
图片尺寸1080x549
不能掉以轻心的"听力下降"今天在重庆三博长安医院做的听神经瘤 - 抖
图片尺寸1440x1933
第五期:楼美清教授——复发大型听神经瘤病例回顾 - 脑医汇 - 神外
图片尺寸640x531
18.听神经瘤(如图所示)的最常见症状为
图片尺寸283x311
囊性听神经瘤为听神经瘤特殊类型,约占 4% ~48%;相对于 - 抖音
图片尺寸1920x1440
听神经瘤手术面神经保留完好,为什么术后也会出现面瘫?
图片尺寸1500x2000
全国爱耳日:听神经瘤与耳鸣 —— 当耳朵"响起警钟"
图片尺寸1080x756