听神经瘤mri

听神经瘤 - 微医(挂号网)
图片尺寸377x440
听神经瘤mri
图片尺寸690x488
听神经瘤的发展过程分期_听神经瘤_疾病介绍_介绍 - 好大夫在线
图片尺寸3699x2093
听神经瘤的诊断与治疗
图片尺寸943x980
桥小脑角巨大听神经瘤 - 好大夫在线
图片尺寸1440x1080
巨大听神经瘤一例
图片尺寸1536x1534
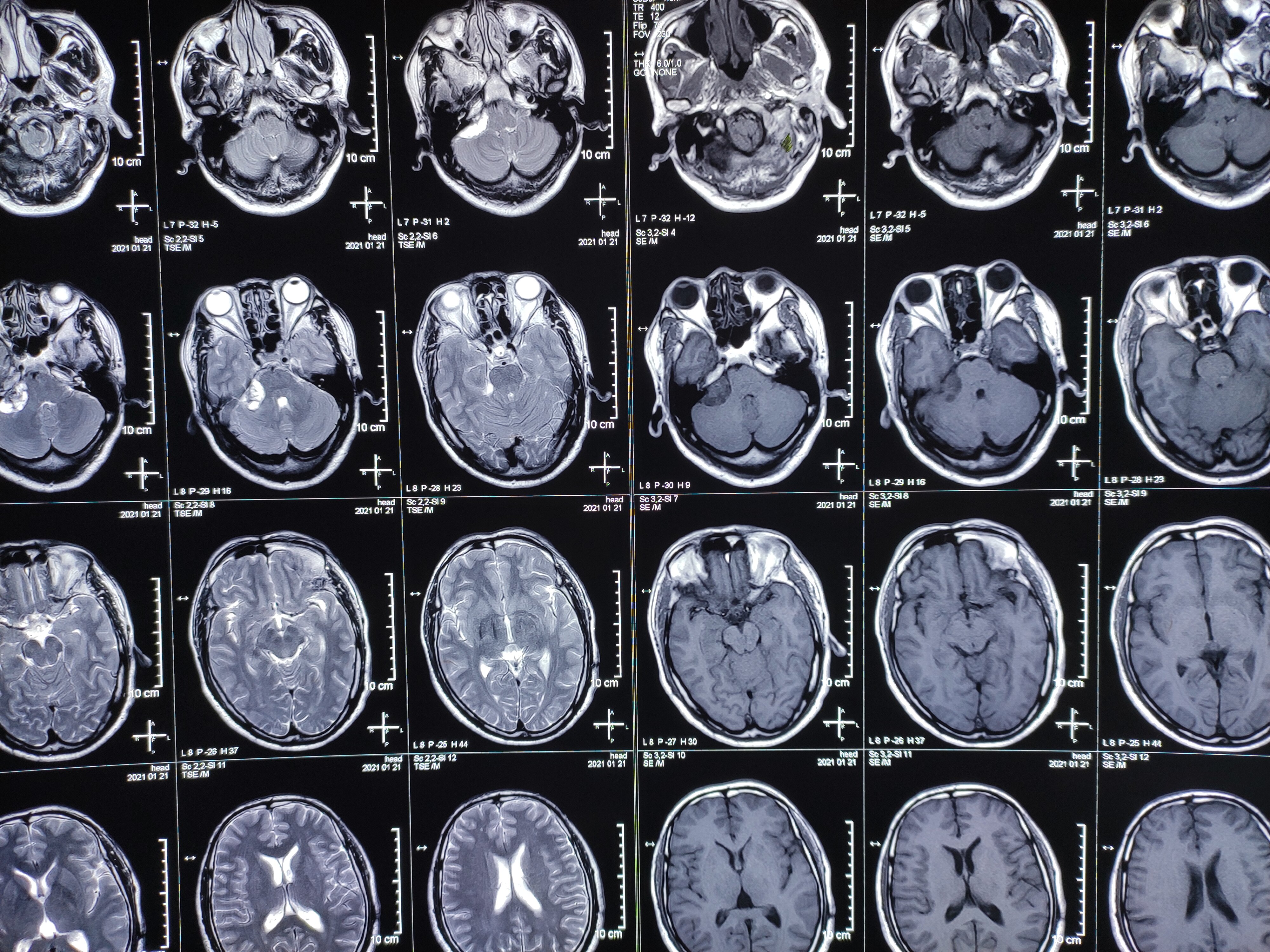
70岁女性患者,右侧面部麻木1年,入院mri提示右侧听神经瘤.
图片尺寸2000x2667
开心的笑容--大型听神经瘤(3期)手术痊愈出院
图片尺寸1599x326
大同市五医院神经外科市内率先开展术中神经电生理监测下大型听神经瘤
图片尺寸3264x1840
得了听神经瘤怎么办? - 好大夫在线
图片尺寸3120x4208
听神经瘤最常见症状有哪些
图片尺寸4032x3024
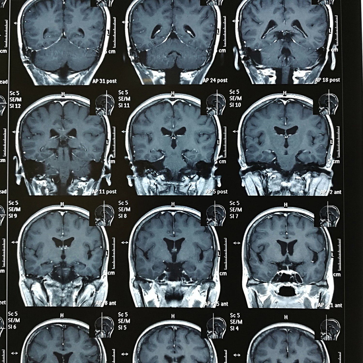
术前头颅mri 增强扫描显示:左侧桥小脑角病灶均一强化,听神经增粗,内
图片尺寸2595x1717
听神经瘤手术全切,术后无面瘫 - 好大夫在线
图片尺寸4000x3000
听神经瘤手术全切,术后无面瘫 - 好大夫在线
图片尺寸4000x3000
华润武钢总医院仁心仁术丨让微笑绽放在听神经瘤患者的脸上
图片尺寸487x494
一 巨大听神经瘤 在华北理工大学附院神经外科成功切除
图片尺寸2217x1553
贺晓生教授听神经瘤切除手术中的面听神经保护
图片尺寸1500x1500
听神经瘤治疗的选择——手术还是伽马刀?
图片尺寸1248x796
贺晓生教授右桥小脑角听神经瘤切除案例
图片尺寸1600x1200
例2术前增强mri(轴位):右侧桥小脑角听神经瘤
图片尺寸930x523