吸电子烟肺部

抽了一年电子烟的肺部肺部和七旬老人一样真实案例
图片尺寸599x395
抽电子烟的肺气泡
图片尺寸589x289
想看看吸烟者的肺是什么样子吗
图片尺寸700x636
小野电子烟爆米花肺
图片尺寸600x417
研究证实电子烟改善了慢性肺阻塞!
图片尺寸1000x563
吸电子烟比吸香烟对肺部的危害更大-一项新研究_炎症_阻塞性_治疗
图片尺寸1180x629
抽电子烟的肺和抽烟的肺有什么不同吗?快来看看吧!
图片尺寸702x382
令人震惊的吸烟者肺部对比揭秘
图片尺寸700x483
电子烟导致肺损伤
图片尺寸640x792
电子烟使肺部细菌有能力对你的身体造成更大的伤害
图片尺寸600x249
吸电子烟致肺部疤痕累累美17岁少年命危换双肺成全球首个病例
图片尺寸660x441
肺部损伤虽然电子烟吸尼古丁产生的负面影响少但不代表安全电子烟添加
图片尺寸600x300
电子烟对人体究竟有多大危害小伙用猪肺进行实测结果令人意外
图片尺寸660x481
医生忠告:戒烟别超过这个岁数_时刻_肺部_康复
图片尺寸640x400
抽了一年电子烟的肺部会变成什么样? - 第1张
图片尺寸1024x768
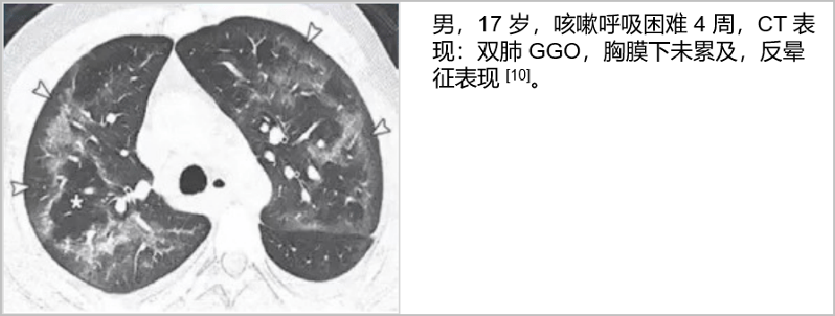
这些肺 ct 表现,竟都和「电子烟」有关?_肺部_治疗_诊断
图片尺寸932x353
它的危害,比你想得更可怕|尼古丁|电子烟|吸烟|烟油|烟液_网易订阅
图片尺寸640x362
中国制电子烟破裂英男子肺部穿孔
图片尺寸447x602
常吸电子烟要注意了研究证实薄荷味电子烟毒性更大损害肺部
图片尺寸660x440
国外已经明令禁止,比抽烟危害还大,中国人却还很青睐!_电子_影响_肺部
图片尺寸512x271