咬接

固定修复可能引起的问题分析:(1)后牙单冠修复:早接触,合干扰---咬合
图片尺寸800x448
咬接和焊接如何选择?
图片尺寸544x377
风管咬接和翻边分别是什么样的,用图解最好
图片尺寸696x290
一建 搭接或咬接 缝口
图片尺寸3040x1712
沪鸽美佳印咬合记录硅橡胶快速精准记录咬合关系
图片尺寸463x309
王美青:凸凹式后牙咬合接触及其临床意义
图片尺寸616x329
焊接工艺基础知识ppt
图片尺寸1080x810
要注意的是平行流水方向的双立咬口拼缝和垂直流水方向的双平咬口拼缝
图片尺寸900x500
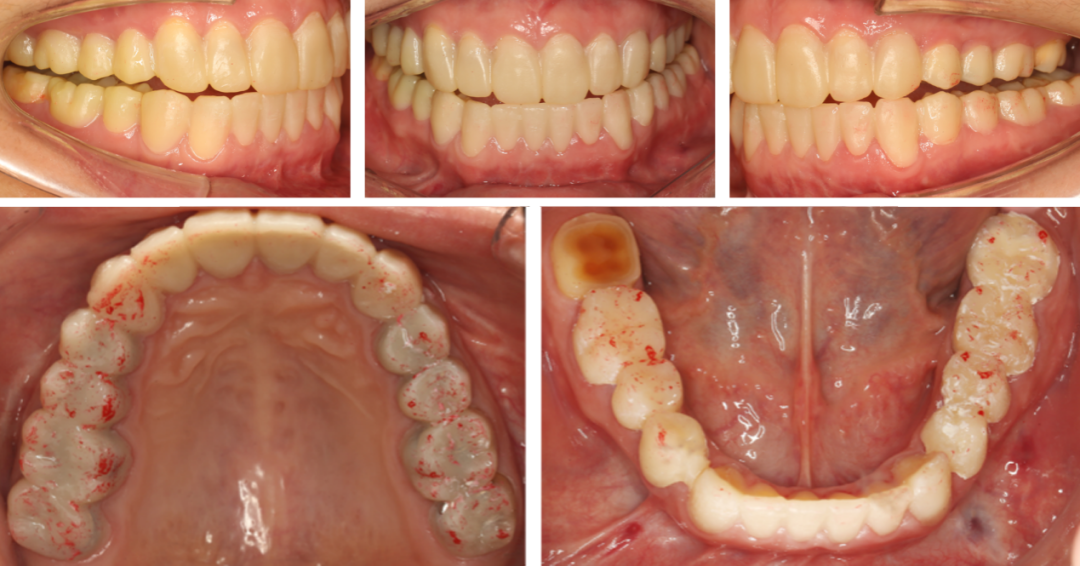
骨关节病合并牙列重度磨耗患者的咬合重建第七届口腔跨学科优秀病例展
图片尺寸1080x566
咬合重建中的临床问题探讨与病例展示张振庭教授
图片尺寸1226x435
体贴的金发女人咬她的嘴唇
图片尺寸700x467
a:调磨前,牙尖高陡,有咬合接触高点;b:调磨后,牙尖斜度降低,去除早接
图片尺寸1280x671
牙科咬合纸的用法
图片尺寸640x483
《金属焊接》2013-2-焊接方法ppt
图片尺寸1080x810
三岁孩子咬嘴唇怎么办 - 好大夫在线
图片尺寸1600x1087
咬接和焊接如何选择?
图片尺寸547x531
请教 咬合线?
图片尺寸640x1139
搭接
图片尺寸500x375
一女子被毒蜘蛛咬唇而产生幻觉
图片尺寸704x392
和和热熔胶帮您全面解析胶黏剂粘接强度
图片尺寸419x538