咽鼓管吹张

咽鼓管吹张治疗分泌性中耳炎
图片尺寸254x177
咽鼓管功能的各种检查方法
图片尺寸439x297
邦耳适咽鼓管吹张器是一种治疗咽鼓管堵塞和咽鼓管功能不良的新装置
图片尺寸500x400
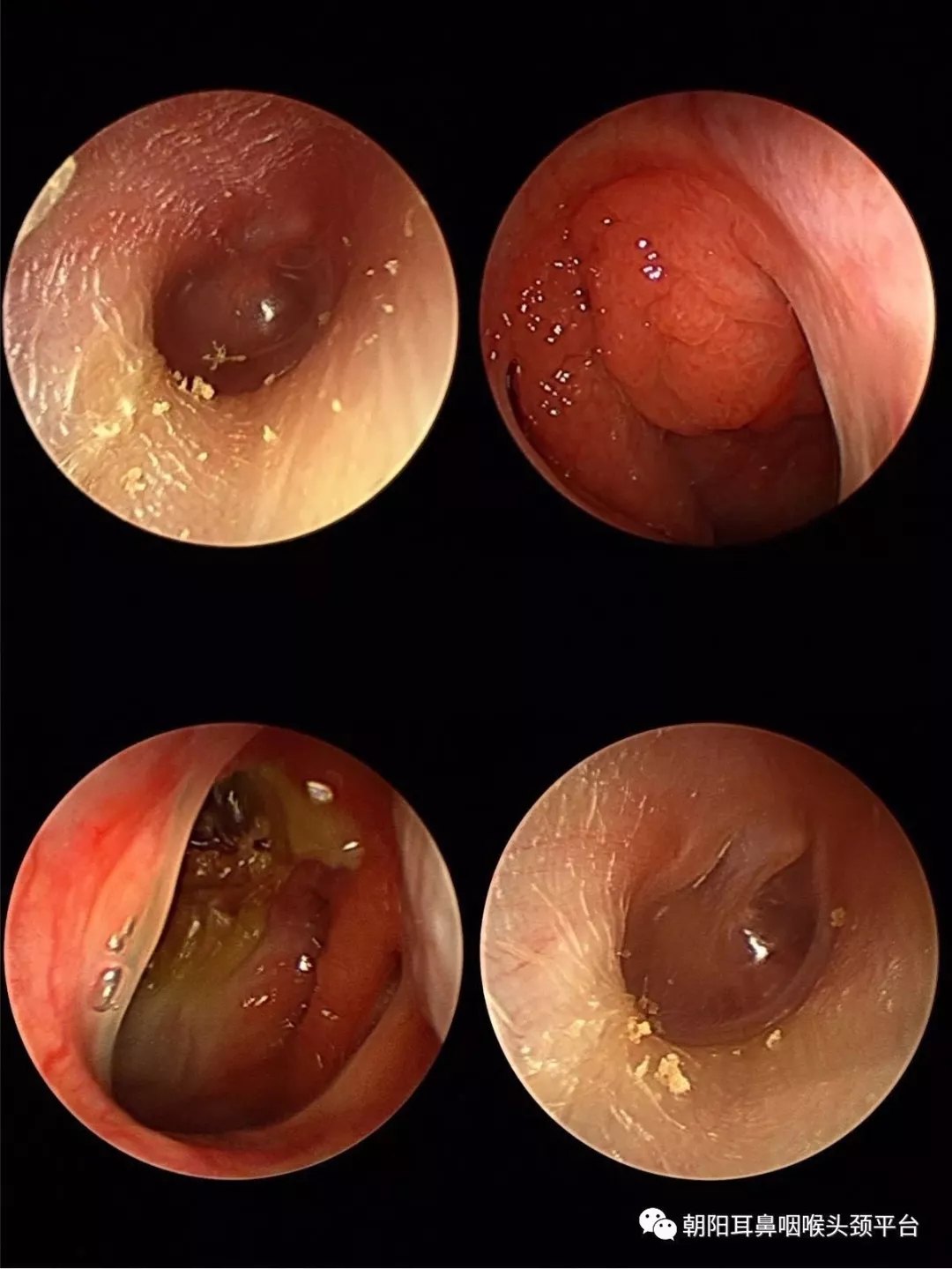
咽鼓管吹张器真的好用吗
图片尺寸1080x1439
怎样让咽鼓管通畅?捏鼻鼓气还是吹张?
图片尺寸322x240
咽鼓管检查法
图片尺寸438x295
咽鼓管吹张器儿童家用咽鼓管波氏吹张球扩成人士儿童中耳鼓膜内陷堵塞
图片尺寸750x555
咽鼓管吹张器 咽鼓管吹张器硅胶波士球耳膜内陷分泌性中耳导管堵
图片尺寸800x800
咽鼓管扩张术及全球应用ppt课件
图片尺寸800x500
咽鼓管吹张器波氏球分泌性中耳负压积液儿童成人鼓膜内陷负压堵塞
图片尺寸300x300
咽鼓管吹张器的危害
图片尺寸506x290
咽鼓管吹张器儿童成人波氏球分泌性中耳积液鼓膜内陷负压堵塞耳闷儿童
图片尺寸790x893
咽鼓管吹张器儿童波氏球咽鼓管堵塞鼓膜内陷耳 儿童型 硅胶头 陆运
图片尺寸800x800
咽鼓管吹张器家用波氏球 家用波氏吹张球扩成人士儿童中耳鼓膜内陷
图片尺寸800x800
你的咽鼓管在哪里不通怎么办
图片尺寸668x498
咽鼓管吹张器 咽鼓管吹张器中耳炎恒压负压康复儿童鼓膜内陷耳闷堵仪
图片尺寸800x800
新昊咽鼓管吹张器家用波氏球吹张球洗耳球儿童中耳耳闷听力降 耳闷
图片尺寸800x800
适用于佰耳中耳负压治疗仪咽鼓管吹张器中耳积液鼓膜内陷负压耳堵塞闷
图片尺寸790x1226
迈为咽鼓管吹张器成人儿童中耳负压治疗仪耳鸣积液鼓膜分泌性中耳炎内
图片尺寸800x800
若有鼻腔 ,鼻咽部或中耳细菌感染,需应用抗生素治疗.
图片尺寸1080x1439