唇腭裂牙齿矫正

【黄臻 精品课】唇腭裂序列的年轻恒牙期正畸治疗
图片尺寸1280x720
二手病例腭裂术后前牙开合矫治进展组图
图片尺寸600x468
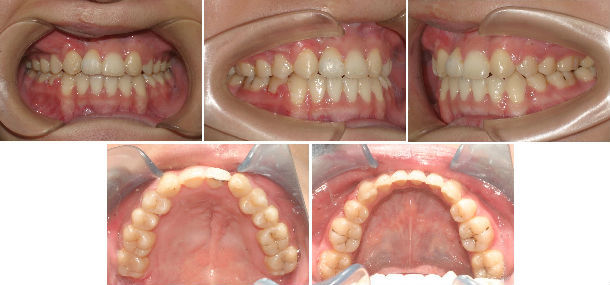
唇腭裂患者正畸治疗效果 - 好大夫在线
图片尺寸610x406
矫正中左鼻翼低了点唇腭裂术后正畸中正畸前
图片尺寸380x419
唇腭裂的正畸治疗
图片尺寸610x285
唇腭裂患者正畸治疗效果 - 好大夫在线
图片尺寸610x407
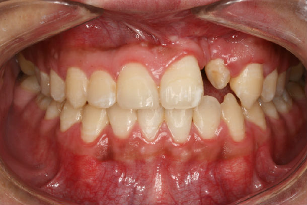
唇腭裂术后正畸
图片尺寸400x258
唇腭裂术后正畸
图片尺寸400x247
唇腭裂的正畸治疗
图片尺寸610x285
二手病例腭裂术后前牙开合矫治进展组图
图片尺寸600x400
怎么判断唇裂鼻畸形矫正是否成功余文林解答
图片尺寸640x594
唇腭裂患者正畸治疗效果 - 好大夫在线
图片尺寸610x407
二手病例腭裂术后前牙开合矫治进展组图
图片尺寸600x459
唇腭裂畸形程度划分
图片尺寸518x394
儿童正畸
图片尺寸1080x1439
【黄臻 精品课】唇腭裂序列的年轻恒牙期正畸治疗
图片尺寸1280x720
叶金梅医生讲解唇腭裂正畸序列治疗ppt
图片尺寸1080x810
唇腭裂术后畸形矫正 (原创)_进行
图片尺寸1439x1440
唇腭裂术后大面积骨缺损伴严重错牙合畸形正畸治疗一例
图片尺寸640x433
唇腭裂之正畸序列治疗刘新强教授
图片尺寸914x361