喉淀粉样变

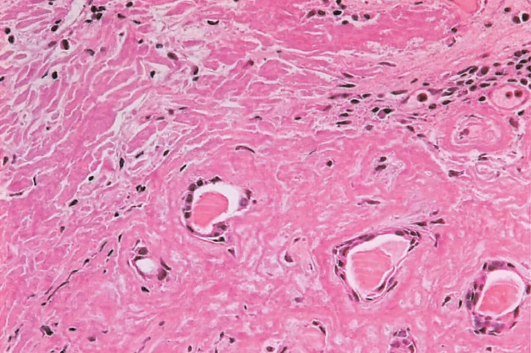
29f那些事-淀粉样变镜下观
图片尺寸1599x1199
喉淀粉样变
图片尺寸500x510
程度及部位而分为3种类型:1,上呼吸道局灶性淀粉样变,最常见部位是喉
图片尺寸360x200
淀粉样变
图片尺寸960x720
急性喉炎诊治要略
图片尺寸640x640
耳鼻咽喉头颈外科
图片尺寸395x280
nbsp;本人是个初三的学生,平时很喜欢唱歌,唱下唱下,出了个慢性咽喉炎
图片尺寸936x1664
还有康复的可能吗?我爷爷78岁,嗓子哑已经半年多了,今天去拍片子了
图片尺寸1000x750
是白斑或者喉癌吗?
图片尺寸768x1024
您家孩子喊叫后声音嘶哑,听听耳鼻喉科医生怎么说
图片尺寸640x817
一文理清:【喉淀粉样变】影像诊断与治疗思路!
图片尺寸1080x718
急性会厌炎的危险性及其急救方法
图片尺寸363x290
前不久张师傅无端出现喉咙不舒服的情况,不但说话声音变嘶哑,还感觉
图片尺寸573x394
喉淀粉样变
图片尺寸111x140
要手术治疗的声带息肉图片
图片尺寸600x443
咳嗽三个多月做了喉镜,医生说是反流性食道炎,可是吃了药还是咳嗽的
图片尺寸600x800
nbi喉镜对声带白斑的诊断分型
图片尺寸630x543
李氏砭法治喉癌术后声带白斑
图片尺寸1575x2100
喉镜检查,看图这是什么
图片尺寸2592x1944
电子喉镜检查的,镜检所见:喉部粘膜慢性充血,舌根淋巴组织增生,肥大
图片尺寸374x500