喉癌ct图片

喉癌影像学表现
图片尺寸837x1056
—从ct影像看喉部病变,值得收藏!
图片尺寸1080x1055
喉部解剖及喉癌影像表现
图片尺寸796x1150
病例介绍及诊断要点详解
图片尺寸1080x578
喉癌影像学表现
图片尺寸1041x1050
病例介绍及诊断要点详解
图片尺寸1080x578
病例介绍及诊断要点详解
图片尺寸1080x578
下咽癌以局部治疗为先导的综合治疗
图片尺寸3072x4096
喉癌的ct表现
图片尺寸960x720
喉癌的ct表现
图片尺寸1030x1780
下咽癌以局部治疗为先导的综合治疗
图片尺寸3072x4098
喉癌的ct表现
图片尺寸1030x1544
喉癌的ct表现
图片尺寸1030x1544
喉癌的ct,mri诊断
图片尺寸960x720
喉癌的ct表现
图片尺寸1030x2058
喉癌的ct表现
图片尺寸1030x1544
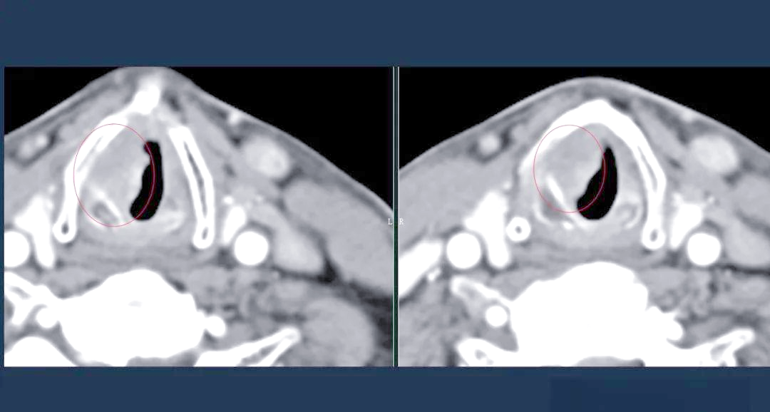
喉癌
图片尺寸1449x1280
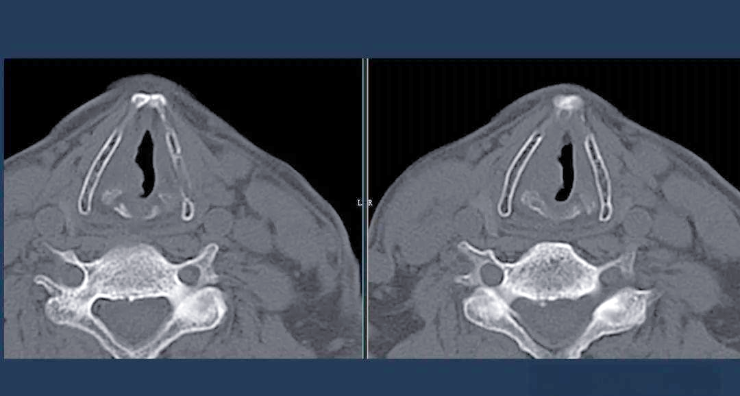
喉癌声门型55y
图片尺寸1080x1080
声门上型喉癌
图片尺寸1340x720
喉癌的ct表现
图片尺寸960x720