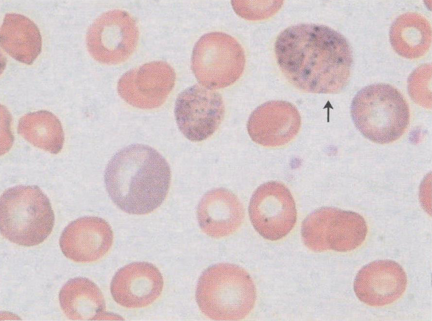
嗜碱性点彩红细胞

嗜碱性点彩红细胞
图片尺寸889x662
写美篇 第二题 嗜碱性点彩红细胞 【形态特点】在瑞氏或瑞姬染色
图片尺寸1200x901
有奖读图常见形态学图片你敢来参加考核吗第六期
图片尺寸445x336
嗜点彩红细胞.jpg
图片尺寸440x895
嗜碱性点彩红细胞
图片尺寸212x205
来源:君安医学细胞平台血液(1)台 校审:庄顺红-浙江省金华市中心医院
图片尺寸1200x885
其它 2018年细胞形态学培训考试 a:嗜多色红细胞 b: 含h-j小体的红
图片尺寸600x461
看图识细胞第21期
图片尺寸961x675
嗜多色性红细胞:嗜多色性红细胞是刚刚脱核而未完全成熟的红细胞,体积
图片尺寸1600x1200
新生儿外周血嗜多色性红细胞易见,成熟红细胞大小不一,机测mcv不够准
图片尺寸1200x1600
图9.嗜碱粒细胞
图片尺寸1164x1014
点彩颗粒.
图片尺寸831x552
嗜碱性点彩红细胞红细胞内可见蓝色小颗粒,大小不等,散在分布,是一种
图片尺寸371x287
检验临床面对面这种嗜碱性点彩原来是帕彭海姆氏小体
图片尺寸607x520
其它 基础细胞图片 写美篇答案:含嗜碱性点彩颗粒的晚幼红细胞 形态
图片尺寸2666x2000
检验临床面对面这种嗜碱性点彩原来是帕彭海姆氏小体
图片尺寸612x459
检验临床面对面这种嗜碱性点彩原来是帕彭海姆氏小体
图片尺寸610x472
大小不一的紫红色嗜天青颗粒;胞核卵圆形,稍偏位,染色质较原始粒细胞
图片尺寸750x750
▼「卡波环(cabot ring)」形态特征:在嗜多色性或嗜碱性点彩红细胞胞
图片尺寸750x750
细胞」形态特征:胞体类圆形;胞质较多,内含大小均一,粉红色的中性颗粒
图片尺寸750x750