嗜血细胞综合症

从来没想过自己的小孩会得100分之一的罕见病,#嗜血细胞综合 - 抖音
图片尺寸1080x1920
嗜血细胞综合症患者杨健科的募捐求助书
图片尺寸480x640
嗜血细胞综合征
图片尺寸1080x810
嗜血细胞综合征
图片尺寸920x1302
细胞因子高能预警噬血细胞综合征
图片尺寸656x369
反复头痛,癫痫,持续高热,竟是……_风湿_女士_治疗
图片尺寸1080x1080
一例噬血细胞综合征的病理学谱和临床鉴别
图片尺寸660x411
噬血细胞综合征,是一种免疫系统疾病,发病急,预后比较差
图片尺寸640x588
以头痛起病的成人噬血细胞综合征一例
图片尺寸767x1557
噬血细胞综合症_第5页
图片尺寸920x690
43岁两个孩子的母亲郑小芬罹患嗜血细胞综合征,恳请大家帮帮我可怜的
图片尺寸1080x1080
噬血细胞综合征听起来就很恐怖的怪病
图片尺寸606x454
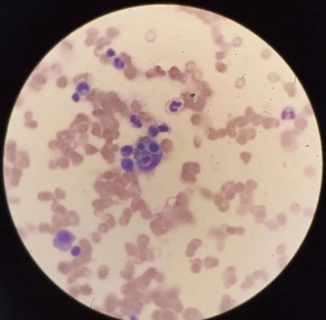
形态"立奇功"噬血细胞综合征一例
图片尺寸641x629
噬血细胞综合症
图片尺寸920x690
医学笔记|嗜血细胞综合症|科普一个医学知识 今天来一起学习一下嗜血
图片尺寸1357x1920
儿童嗜血细胞综合症
图片尺寸4032x3024
与死神博弈,它竟能"换"出新生|骨髓|凝血|红细胞|血细胞|白细胞
图片尺寸633x244
95后女生腹痛难忍口吐"黑水",就医被要求晒尿,医生:吸血鬼病
图片尺寸674x928
如有发热症状需警惕这个疾病!
图片尺寸587x587
一例噬血细胞综合征的病理学谱和临床鉴别
图片尺寸660x238