囊性听神经瘤

囊性听神经瘤的临床特点和治疗
图片尺寸493x610
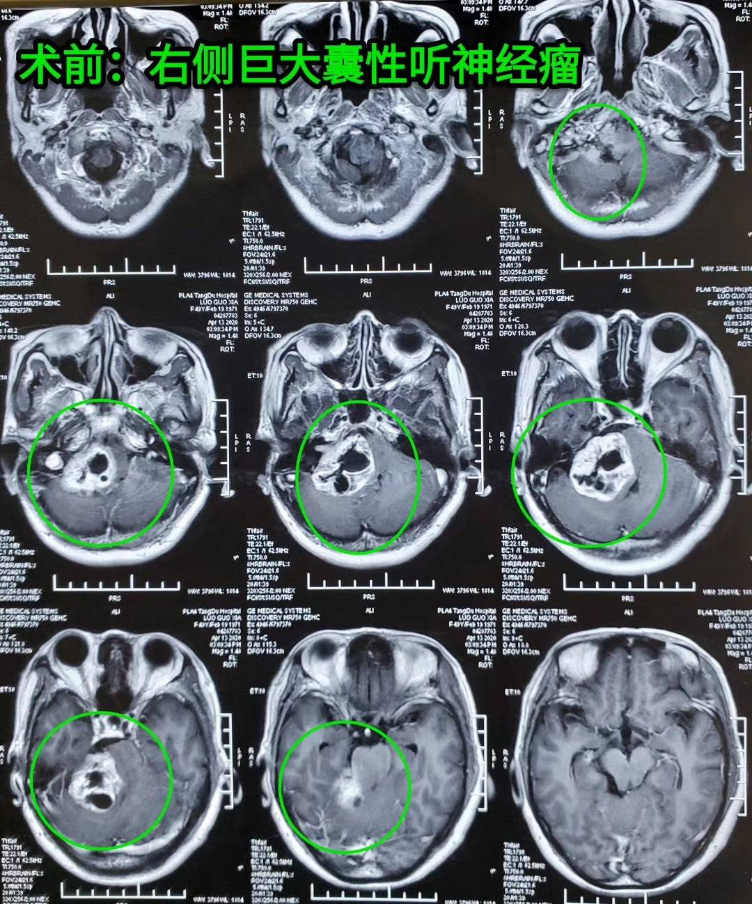
【病例分享】巨大囊性听神经瘤——唐都神经外科赵天智
图片尺寸1080x1298
【病例分享】巨大囊性听神经瘤——唐都神经外科赵天智
图片尺寸1080x1246
病例分享高难度多囊性听神经瘤病例分享
图片尺寸700x488
听神经瘤治疗的选择手术还是伽马刀
图片尺寸1248x796
听神经瘤如野草及早拔除庄稼好
图片尺寸525x654
【正海-妙术视界】| 钟东教授团队:术后保留听力的小型囊实性听神经瘤
图片尺寸960x702
听神经瘤 - 微医(挂号网)
图片尺寸377x440
【病例】巨大囊性听神经瘤术后保留面神经功能 - 好大夫在线
图片尺寸1199x1600
手术全切粘连严重囊性听神经瘤一例
图片尺寸700x516
钟东教授团队术后保留听力的小型囊实性听神经瘤1例
图片尺寸960x720
听神经瘤的发展过程分期
图片尺寸3699x2093
巨大听神经瘤一例
图片尺寸1536x1534
听神经鞘瘤
图片尺寸720x540
听神经瘤的症状检查与治疗!
图片尺寸1600x1014
一组实质性听神经瘤全切,面神经全部解剖保留 - 好大夫在线
图片尺寸3264x2448
三博脑科病例听神经瘤手术能保留听力吗
图片尺寸503x600
听神经瘤出国看病综合治疗及案例报告两则
图片尺寸1000x658
听神经鞘瘤
图片尺寸720x540
大型囊性听神经瘤3期显微手术全切的手术技巧和要点
图片尺寸1599x365