四叠体池囊肿ct图片

儿童四叠体池蛛网膜囊肿的早期微创治疗1例 - 微医(挂号网)
图片尺寸509x485
头向右歪斜1个月入院,外院影像学检查提示四叠体池蛛网膜囊肿
图片尺寸2666x2000
ct显示:四叠体区高密度影
图片尺寸4032x3024
写美篇患儿病史如下 明日拟在全麻下行神经内镜下四叠体池蛛网膜囊肿
图片尺寸2000x2667
【影像讨论】四叠体池 脂肪瘤?
图片尺寸624x697
写美篇患儿病史如下 明日拟在全麻下行神经内镜下四叠体池蛛网膜囊肿
图片尺寸2000x2667
图片浏览
图片尺寸260x219
头向右歪斜1个月入院,外院影像学检查提示四叠体池蛛网膜囊肿
图片尺寸2666x2000
四叠体后方高信号是脂肪瘤吗如何处理
图片尺寸2592x1944
影像表现为双侧额,颞叶,左侧桥臂,左侧基底节区多发病灶,脑基底池
图片尺寸1242x1656
睾丸囊肿(testicle cyst)的ct与磁共振现象
图片尺寸543x455
④脑桥小脑角池,环池,四叠体池的肿瘤可致脑干受压,变形.
图片尺寸512x500
睾丸囊肿(testicle cyst)的ct与磁共振现象
图片尺寸1103x460
表皮样囊肿位于桥前池,脚间池及四叠体池内,t1信号与脑脊液一致,无
图片尺寸886x469
纵隔囊肿非官方诊疗指南
图片尺寸3968x2976
容易引起误诊的症状——食积_蛛网膜囊肿_蛛网膜囊肿症状表现 - 好
图片尺寸3968x2976
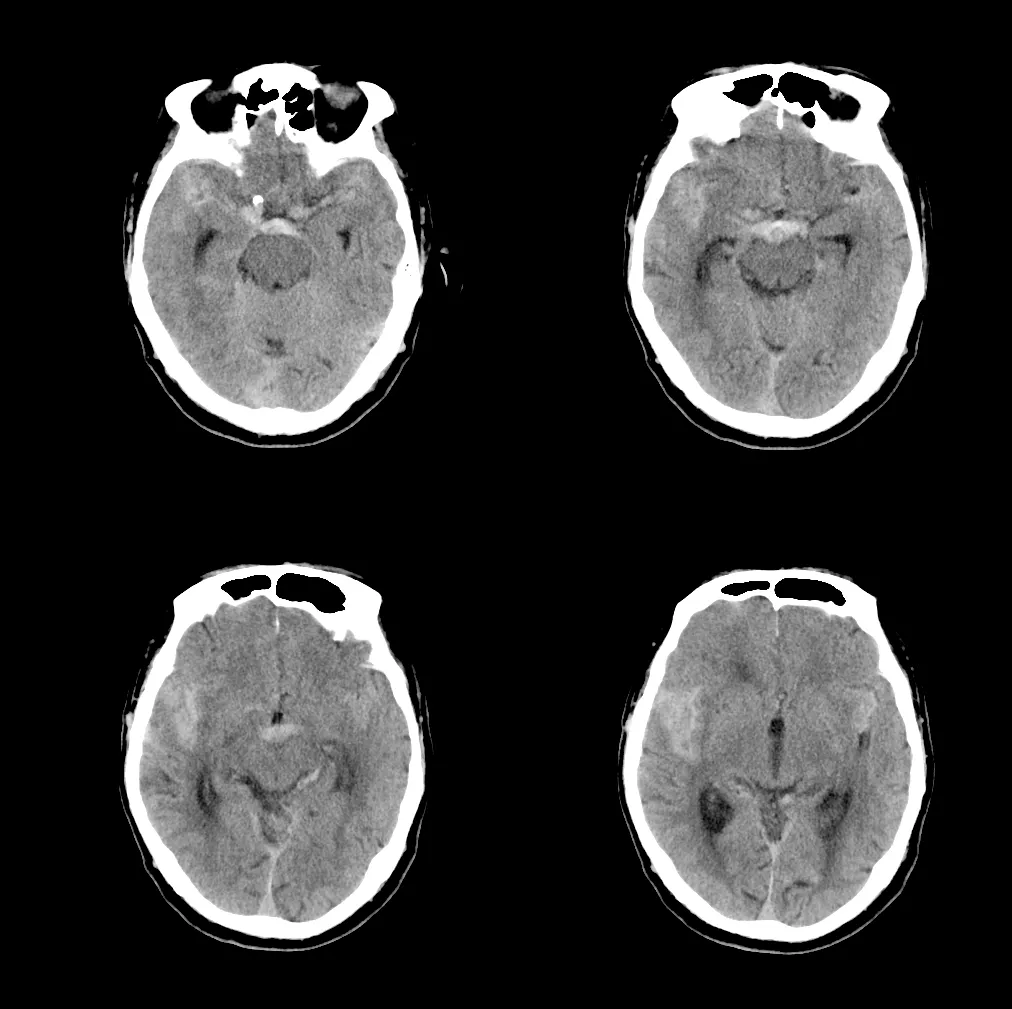
蛛网膜下腔出血,鞍上池,四叠体池,双侧外侧裂池高密度.
图片尺寸1012x1009
蛛网膜下腔出血的ct表现 外侧裂,四叠体池出现高密度影
图片尺寸1080x810
影像表现为双侧额,颞叶,左侧桥臂,左侧基底节区多发病灶,脑基底池
图片尺寸1242x1242
一右腹部巨大囊肿患者求普外高手会诊
图片尺寸4320x3240