四环色素牙图片

四环素牙是什么样子图片
图片尺寸600x400
四环素牙
图片尺寸500x338
【牙医学堂】"无法漂白的"重度四环素牙漂白治疗
图片尺寸1080x725
四环素牙有什么特好的办法可以变白吗
图片尺寸641x350
轻度四环素牙诊室漂白一例
图片尺寸680x453
【牙医学堂】"无法漂白的"重度四环素牙漂白治疗
图片尺寸1080x725
四环素牙和氟斑牙的区别是什么?突然发现牙齿有个黄色斑
图片尺寸1307x914
【美然】北京佳美口腔夏红医生:严重的四环素牙选美容冠修复更好!
图片尺寸868x494
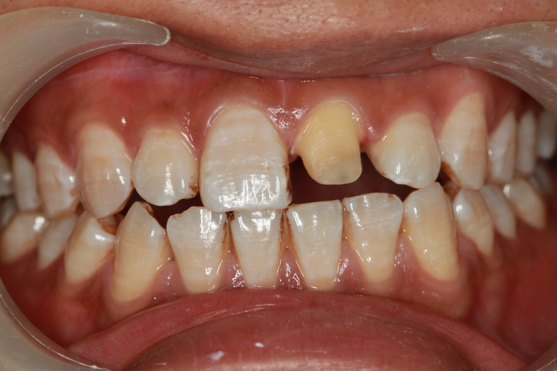
病例一:四环素牙的特殊染色 - 好大夫在线
图片尺寸2352x1568
四环素牙的表现及修复方法
图片尺寸278x269
【牙医学堂】"无法漂白的"重度四环素牙漂白治疗
图片尺寸1080x725
四环素牙
图片尺寸500x500
四环素牙的原因及治疗
图片尺寸800x531
图七:轻度四环素牙图八:重度四环素牙【治疗】轻度四环素牙可以考虑
图片尺寸4475x2421
重度四环素牙 图源www.hnqnw.com
图片尺寸800x600
轻度四环素牙诊室漂白一例
图片尺寸680x453
四环素牙洗牙会变白吗
图片尺寸480x270
四环素牙美白前后照片
图片尺寸5184x3456
什么是四环素牙?wesmile纳米蓝光美白效果好吗?
图片尺寸400x300
病例一:四环素牙的特殊染色 - 好大夫在线
图片尺寸2352x1568