四眼簧扩弓

你能看出该病例四眼簧扩弓的特点吗原创
图片尺寸426x336
四眼簧扩弓器
图片尺寸500x333
你能看出该病例四眼簧扩弓的特点吗原创
图片尺寸436x336
(口腔科普第22期)
图片尺寸416x336
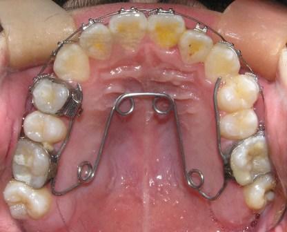
通过四眼簧扩弓,可使前磨牙和磨牙颊向移动.
图片尺寸900x829
四眼圈簧扩弓矫治上颌牙弓狭窄
图片尺寸680x518
四眼簧扩弓器
图片尺寸889x593
上颌四眼扩弓簧扩弓
图片尺寸620x465
四眼扩弓簧的弯制技巧原创张振清
图片尺寸447x446
四眼扩弓簧的弯制技巧原创张振清
图片尺寸471x434
四眼簧扩弓器
图片尺寸434x302
四眼扩弓簧的弯制技巧原创张振清
图片尺寸474x359
正畸技工弯制可摘四眼扩弓簧步骤3原创
图片尺寸448x336
四眼扩弓簧的弯制技巧
图片尺寸560x614
四眼扩弓簧的弯制技巧原创张振清
图片尺寸468x329
四眼扩弓簧不拔牙三个月解除牙列重度拥挤
图片尺寸1326x622
四眼扩弓簧的弯制技巧
图片尺寸560x718
四眼扩弓簧的弯制技巧
图片尺寸562x461
四眼圈簧
图片尺寸1116x863
四眼扩弓簧的弯制技巧原创张振清
图片尺寸471x387