回归热波状热

中医乡镇助理诊断学基础课程讲座
图片尺寸338x261
回归热
图片尺寸442x215
回归热 骤升骤降,各持续几天 回归热,霍奇金病 波状热 渐高渐降
图片尺寸446x224
5.回归热指体温骤升达39℃或以上,持续数天后又骤然下降至正常水平.
图片尺寸527x308
图3-1-4 回归热5.
图片尺寸309x201
回归热
图片尺寸430x215
蜱传回归热
图片尺寸451x280
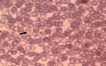
回归热螺旋体
图片尺寸300x240
(4)波状热:体温逐渐升高达39℃或以上,持续数天后逐渐下降
图片尺寸374x225
回归热
图片尺寸377x385
(5)回归热:霍奇金淋巴瘤,周期热等.
图片尺寸320x257
特征性回归热
图片尺寸300x220
临床上,把发热大致分为六种:稽留热,弛张热,间歇热,回归热,波状热和不
图片尺寸1080x2701
回归热病
图片尺寸600x400
(4)波状热:布鲁氏菌病.(5)回归热:霍奇金淋巴瘤,周期热等.
图片尺寸351x266
稽留热>39℃,波动:1℃肺炎链球菌性肺炎,伤寒高热期.2.
图片尺寸478x244
波状热『正确答案』a例题4:败血症的典型热型为a.稽留热b.弛张热c.
图片尺寸1478x842
(4)波状热:布鲁氏菌病.(5)回归热:霍奇金淋巴瘤,周期热等.
图片尺寸371x222
免费文档 所有分类 2018口腔执业医师综合笔试知识点(二百七) (4)回归
图片尺寸327x201
(4)波状热:布鲁氏菌病.(5)回归热:霍奇金淋巴瘤,周期热等.
图片尺寸367x265