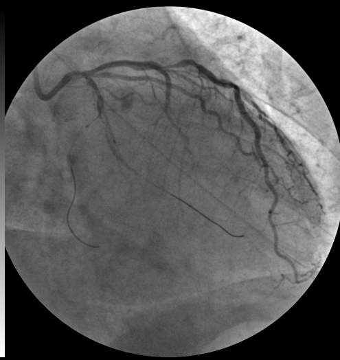
回旋支闭塞

造影结果示:回旋支闭塞
图片尺寸1080x1165
造影结果示:回旋支闭塞
图片尺寸2080x2000
造影显示患者的冠状动脉回旋支近段完全闭塞(翻拍照片)
图片尺寸640x427
急诊造影示:回旋支闭塞
图片尺寸1125x1080
60岁男性,冠脉造影提示回旋支近段闭塞
图片尺寸900x433
四,左回旋支阻塞
图片尺寸1364x1577
图1 手术直播冠脉造影检查,白色箭头为左回旋支闭塞血管介入处理
图片尺寸497x254
53岁男性,冠脉造影提示回旋支近段闭塞
图片尺寸900x456
心梗左回旋支闭塞心电图这样表现北大人民医院研究
图片尺寸660x681
造影见回旋支近段闭塞.
图片尺寸1080x810
前降支回旋支闭塞一例
图片尺寸895x796
图1. 箭头所示左冠状动脉回旋支(cx)近端长段闭塞,长度17mm
图片尺寸485x466
送到回旋支远端
图片尺寸2000x2667
回旋支急性心肌梗塞一例
图片尺寸495x524
心脏有三根大血管堵死一根还能正常工作吗
图片尺寸640x364
回旋支远端血管严重狭窄一例 - 好大夫在线
图片尺寸1600x1170
左回旋支堵塞100%.
图片尺寸423x302
回旋支远端血管狭窄一例 - 好大夫在线
图片尺寸1600x1116
【心脏解剖】冠状动脉——左回旋支 - 知乎
图片尺寸1080x670
立即转入介入导管室,给患者行急诊冠脉造影显示:心脏前降支闭塞,回旋
图片尺寸640x360