固有口腔

ppt.convertor
图片尺寸475x491
口腔
图片尺寸626x671
4,有完整的颊舌壁可保留.
图片尺寸460x268
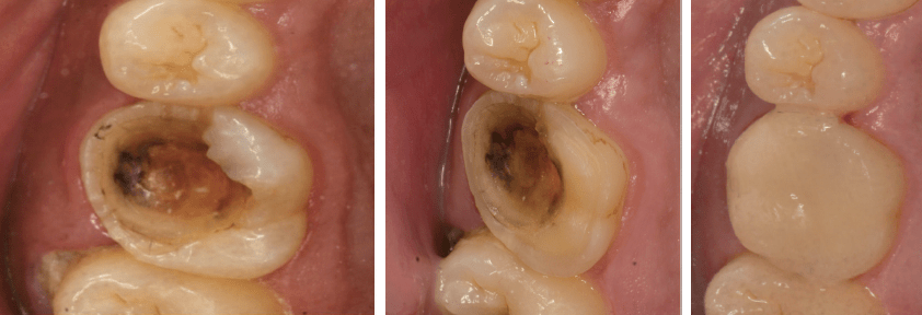
美塑树脂嵌体
图片尺寸1080x614
消化系统系统解剖课件整理_第5页
图片尺寸1500x1125
临床先锋粘接修复的失败和提示姜婷教授
图片尺寸842x288
嘉峪关中医医院口腔-口腔技术的提高与科技的进步
图片尺寸2446x3262
(二)口腔 口腔前庭 固有口腔 1,口唇 人中 鼻唇沟 口角 2,颊 7
图片尺寸1080x810
黄叶君-嵌体的设计,预备和粘接_kq88口腔培训
图片尺寸640x311
解剖消化系统ppt 系统解剖 课件 重点 口腔 分 口腔前庭 部 固有口腔
图片尺寸1080x810
口腔科置略马泷口腔门诊部
图片尺寸5068x3037
成都高新兴天康牙科诊所
图片尺寸960x639
口腔护理及操作ppt
图片尺寸1080x810
口腔内面观:口腔前庭和固有口腔
图片尺寸1620x1012
口腔前庭 2. 固有口腔
图片尺寸1080x810
口腔局部解剖ppt
图片尺寸1080x810
口腔局部解剖ppt
图片尺寸800x600
老年人需警惕的吞咽障碍
图片尺寸1080x810
前两个星期出现口腔溃疡是正常的,原因在于这是传统托槽的固有缺陷
图片尺寸1080x720
人体解剖学-消化系统 (一)口腔的构造和分部
图片尺寸1080x810