地包天头骨

术前颅骨三维重建,去掉地包天后非常严重
图片尺寸1080x1146
为什么会得地包天原因是什么地包天不矫正有危害吗
图片尺寸382x246
从一台双鄂手术案例谈起,地包天性长脸的face off(变脸_朴兴植_住院
图片尺寸544x754
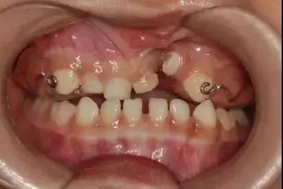
反颌矫正 地包天矫正第四周,现在只有晚上戴,基本已经出来, - 抖音
图片尺寸1676x1216
地包天矫正要趁早最佳治疗时间是什么
图片尺寸412x275
线正常,但左右两侧下巴的大小不一致2,中心线歪斜,脸长且伴有地包天3
图片尺寸600x736
畸形雪狐头骨 地地包天
图片尺寸1080x1080
地包天治疗案例
图片尺寸690x477
地包天患者不用上省医院了云县人民医院口腔科成功开展首例正颌手术
图片尺寸800x600
让人自卑的地包天,还有得治吗?
图片尺寸610x444
数字化手术辅助设计在"地包天"治疗中的应用
图片尺寸800x500
儿童牙齿地包天矫正大概要花费多少钱 地包天牙齿矫正手术过程
图片尺寸378x279
姑娘地包天坚持每天晚上佩戴每张图片都会有变化一个月的效果还是很不
图片尺寸1440x1920
宝宝地包天除了父母遗传还可能是生活中这4个坏习惯引起的
图片尺寸532x512
18岁地包天矫正,正颌后终于可以自信上大学
图片尺寸1080x810
地包天 #牙齿矫正 三岁上幼儿园体检的时候医生说地包天尽早干预
图片尺寸1440x2560
反颌俗称地包天,会导致下颌前伸,上颌发育不足,导致面下三分之 - 抖音
图片尺寸1920x1920
地包天,龅牙,孩子好自卑,牙科医生:别错过最佳矫正时机
图片尺寸1141x720
骨性凸嘴正颌手术才能改善吗?正颌手术后脸型改变图解析!
图片尺寸500x315
上海正颌##地包天
图片尺寸689x689