地包天隐形矫正

最勇敢的整牙小患者 3岁【地包天】
图片尺寸1920x1280
兜齿地包天矫正
图片尺寸1080x1439
地包天应如何矫正? - 知乎
图片尺寸473x494
地包天矫正5个月改善前牙地包天
图片尺寸720x960
"地包天"的正畸治疗
图片尺寸840x636
地包天矫正效果
图片尺寸1080x1439
01)地包天是可以通过正畸来矫正的,建议选用金属自锁托槽,后期配合
图片尺寸660x882
地包天矫正器初高中隐形纠正龅牙地包牙缝大龅牙矫正器成年人牙套
图片尺寸800x800
地包天能够通过矫正治疗吗?
图片尺寸750x401
"地包天"的正畸治疗
图片尺寸721x493
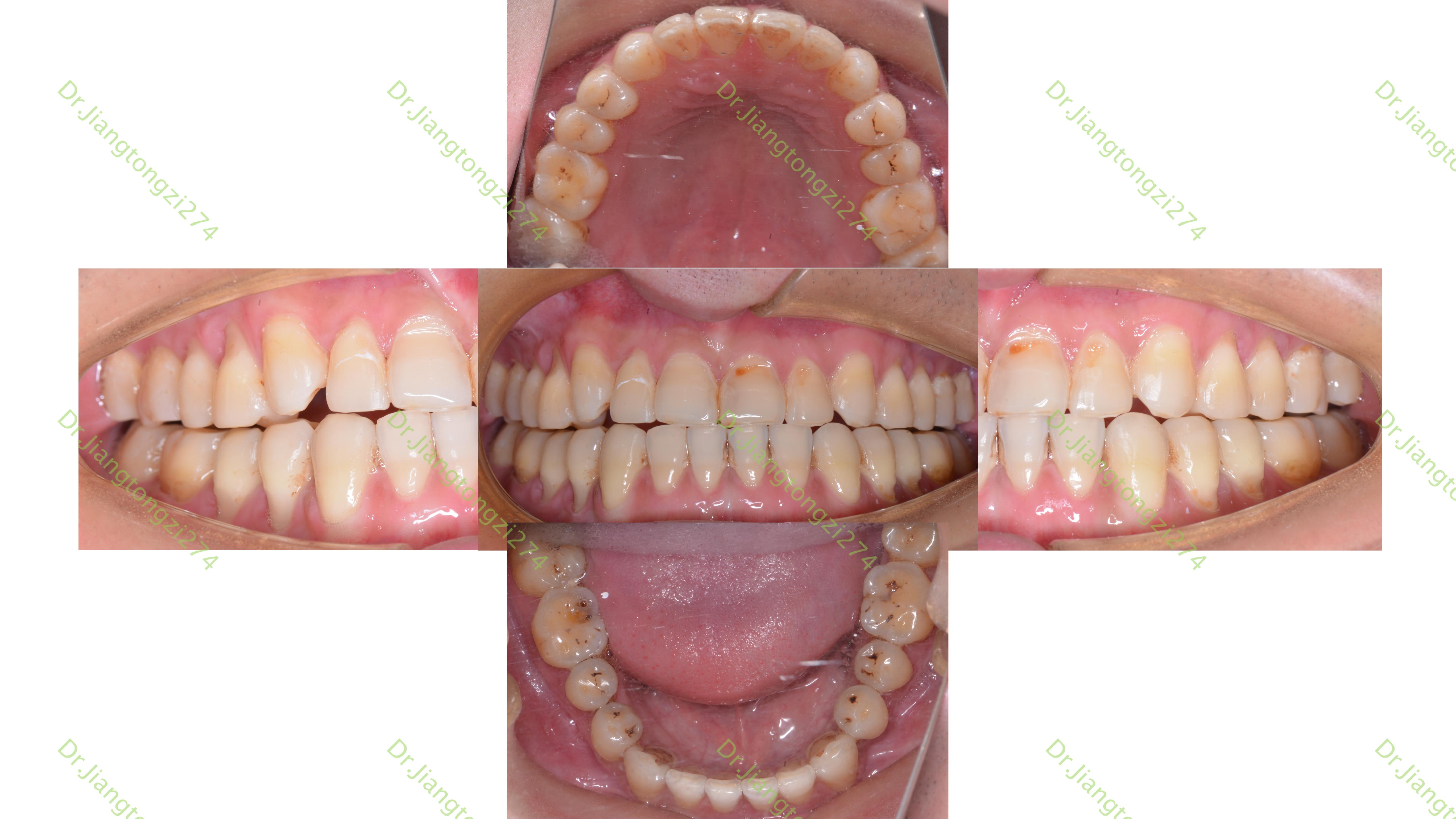
《正畸病例77:成人地包天的隐形矫正》
图片尺寸5120x2880
《正畸病例77:成人地包天的隐形矫正》
图片尺寸5120x2880
青少年骨性地包天矫正案例_牙颌畸形_牙颌畸形治疗方式 - 好大夫在线
图片尺寸1600x1096
26岁,地包天掩饰性正畸八个月效果
图片尺寸570x726
地包天矫正②
图片尺寸1080x1439
地包天改如何矫正呢
图片尺寸618x607
30岁高龄__骨性地包天矫正 - 知乎
图片尺寸2048x2048
地包天应如何矫正?
图片尺寸720x480
《正畸病例77:成人地包天的隐形矫正》
图片尺寸5120x2880
为啥医生不建议我戴隐形牙套来矫正地包天呢?
图片尺寸574x359