坏牙图片 恐怖

孩子普遍烂牙,跟家长有直接关系,一个习惯养成轻松保护宝宝牙齿
图片尺寸750x564
长春专业烂牙多少钱品质保障
图片尺寸600x400
别让牙齿烂这么严重
图片尺寸1296x864
全口牙齿损坏示意图
图片尺寸500x333
最烂的牙齿坏牙龋齿图片图片下载图片id873772人体器官图片素材聚图
图片尺寸1080x950
最烂的牙齿可以有多烂
图片尺寸720x466
最烂的牙齿可以有多烂?
图片尺寸497x346
你的这一口烂牙,你自己不觉得恶心吗
图片尺寸637x560
成人牙烂了怎么治疗2
图片尺寸576x412
真的有让牙齿再生的民间高人?劝大家千万不要随便相信危害非常大
图片尺寸600x399
19岁游戏主播牙齿全烂光,只因一个坏习惯,很多人一打游戏也这样_口腔
图片尺寸640x499
4岁女童14颗烂牙变白牙青岛妇儿医院城阳院区舒适化治疗解难题
图片尺寸830x959
14岁戴假牙,让孩子自觉远离甜食,从出生起做到这6个字_蜗牛_牙齿_饼干
图片尺寸1278x686
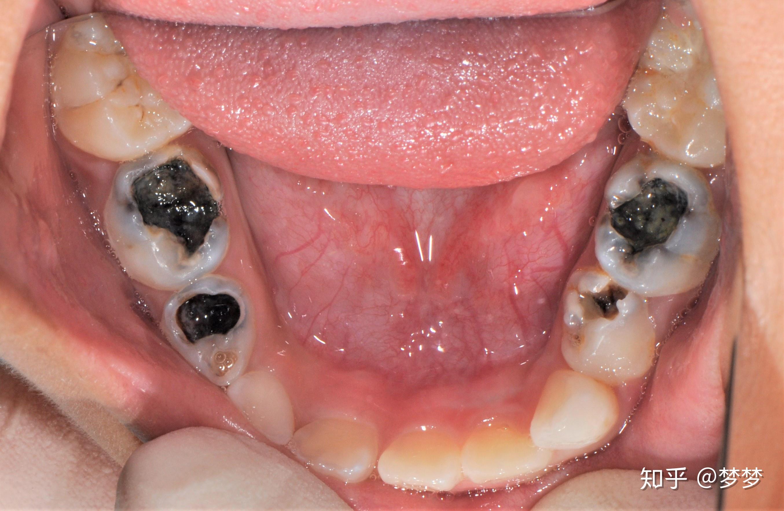
牙医碰见最烂的牙有多烂? - 知乎
图片尺寸2709x1768
恐怖的烂牙烂牙治疗病例一例--烂牙治疗,烤瓷牙
图片尺寸640x480
大牙烂了个大窟窿还黑图
图片尺寸750x500
太可怕了看到宝宝门牙乳牙被腐蚀图片后许多家长表示接受不了
图片尺寸600x357
太可怕了看到宝宝门牙乳牙被腐蚀图片后,许多家长表示接受不了
图片尺寸600x401
正面看看,怕怕换个角度看看,烂牙恐怖的烂牙烂牙治疗病例一例--烂牙
图片尺寸640x480
几岁的宝宝居然满口坏牙,怎么会这样?
图片尺寸800x533