坐骨神经mri解剖

未知的坐骨神经痛
图片尺寸3072x4098
有一种屁股痛叫梨状肌综合征|梨状肌综合征|坐骨神经|冠状位|mri|屁股
图片尺寸960x720
坐骨神经是人体中最长的一根神经,起源于脊髓的腰骶段和骶骨段,并
图片尺寸1026x1362
成功实施世界首例机器人辅助坐骨大孔扩大截骨,腰骶丛神经修复手术
图片尺寸732x640
【dst案例分享】印度尼西亚患者来院治疗腰痛·坐骨神经痛 - 传祺国际
图片尺寸700x700
盆腔mri断层解剖,你学会了吗?_影像诊断中心_微信_华夏
图片尺寸960x720
教育培训 | 超声引导下坐骨神经阻滞
图片尺寸1080x881
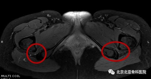
详细标注版 | 髋部mri轴位解剖(t1与压脂对照)
图片尺寸640x791
坐骨神经损伤_坐骨神经损伤治疗方式 - 好大夫在线
图片尺寸931x993
早读 | 深部臀肌综合征:臀下间隙坐骨神经卡压的解剖,成像和处理
图片尺寸1076x540
有没有大夫能解答一下我核磁共振的片子,坐骨神经痛,腰痛
图片尺寸1080x1439
早读 | 深部臀肌综合征:臀下间隙坐骨神经卡压的解剖,成像和处理
图片尺寸505x595
坐骨神经痛
图片尺寸1080x810
3,梨状肌周围断层解剖2,梨状肌周围结构坐骨神经是人体最粗大的神经
图片尺寸872x622
带您了解下什么是坐骨股骨撞击综合征!
图片尺寸528x278
如何在ct中快速识别腘窝中的坐骨神经
图片尺寸1080x360
早读 | 深部臀肌综合征:臀下间隙坐骨神经卡压的解剖,成像和处理
图片尺寸505x592
轴向t1图像图17:病例3:囊状形成使冠状t1图像上的坐骨神经间隙变窄.
图片尺寸1080x857
什么原因引起的患者坐骨神经痛?如何治疗可以缓解?
图片尺寸1080x1440
早读 | 深部臀肌综合征:臀下间隙坐骨神经卡压的解剖,成像和处理
图片尺寸505x595