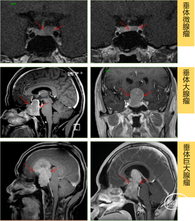
垂体瘤MRI

垂体瘤# #浙二医院# #神经
图片尺寸960x1280
垂体腺瘤mri图
图片尺寸560x278
垂体瘤
图片尺寸512x512
垂体瘤微创手术治疗之经鼻手术
图片尺寸806x926
垂体瘤的mri诊断与鉴别诊断课件
图片尺寸2400x1350
垂体瘤
图片尺寸1018x1022
一例垂体促甲状腺激素分泌瘤病例分析 分析测试百科网wiki版
图片尺寸647x899
[贺教授课堂】谈"垂体瘤"的非手术治疗!
图片尺寸3968x2976
mri片子上垂体腺瘤与周围结构的初步辨认
图片尺寸446x438
侵袭性垂体瘤的mri 征象
图片尺寸960x720
中年女性,视力下降2 年,巨大垂体瘤
图片尺寸2000x2667
垂体瘤微创手术治疗之经鼻手术
图片尺寸744x756
原创警惕儿童肥胖症和视力减退青少年垂体瘤的手术切除
图片尺寸2048x1536
扩大经鼻蝶入路治疗侵袭性垂体巨腺瘤 (原创)
图片尺寸2160x2880
垂体瘤卒中的影像和病例
图片尺寸640x360
这位19岁女孩,2年前因为acth型垂体瘤在外院做过一次内镜 - 抖音
图片尺寸1331x1161
通过磁共振成像检查发现垂体瘤,手术治疗后视力视野均有好转.
图片尺寸808x457
手术成功切除巨大垂体腺瘤
图片尺寸629x406
垂体增强磁共振检查(mri)是脑垂体瘤最重要的检查手段之一(mri可见
图片尺寸665x754
垂体瘤复发了怎么办?还能从鼻子做手术吗?
图片尺寸640x480