垂体胶样囊肿

病例30:rathke囊肿
图片尺寸617x633
看到垂体增大,不要忘了 rathke 囊肿
图片尺寸640x443
拉克氏囊肿一例
图片尺寸688x795
看完14个病例一起来认识这个表现多样的rathkes囊肿
图片尺寸1080x881
垂体rathke囊肿,你见过这种影像表现吗?注意鉴别诊断!
图片尺寸486x443
史上最全垂体rathke囊肿的mri诊断与鉴别
图片尺寸960x720
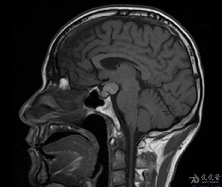
病例30rathke囊肿
图片尺寸720x608
教科书上没有的章节:12 类颅内囊肿 一文搞定
图片尺寸590x462
看完14个病例一起来认识这个表现多样的rathkes囊肿
图片尺寸975x508
ppt垂体rathke囊肿mri表现
图片尺寸960x720
【影像】拉克氏囊肿的mri表现及鉴别诊断
图片尺寸960x647
t1wi 高信号的神经垂体前方case 5:m/52y矢状位 t2wi 示:高信号囊肿和
图片尺寸1080x743
看到垂体增大,不要忘了 rathke 囊肿
图片尺寸557x376
影像拉克氏囊肿的mri表现及鉴别诊断
图片尺寸960x664
史上最全垂体rathke囊肿的mri诊断与鉴别
图片尺寸960x720
内镜经鼻切除垂体柄内型rathke囊肿1例
图片尺寸960x720
经胼胝体入路胶样囊肿切除技巧 | the neurosurgical atlas全文翻译
图片尺寸944x951
【影像讨论】本病为垂体rathke囊肿,欢迎大家补充本病的表现!
图片尺寸2298x2706
多图多表:带你识别颅内囊肿的影像学表现丨实战读片
图片尺寸1604x548
【影像讨论】本病为垂体rathke囊肿,欢迎大家补充本病的表现!
图片尺寸2160x2808