垂体rathke囊肿

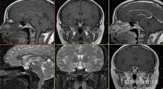
史上最全垂体rathke囊肿的mri诊断与鉴别
图片尺寸960x720
垂体rathke囊肿你见过这种影像表现吗注意鉴别诊断
图片尺寸486x443
【影像讨论】本病为垂体rathke囊肿,欢迎大家补充本病的表现!
图片尺寸2298x2706
垂体rathke裂囊肿mr表现
图片尺寸960x720
【影像讨论】本病为垂体rathke囊肿,欢迎大家补充本病的表现!
图片尺寸2160x2808
【临床病例分析】鞍区rathke囊肿的诊断及治疗方案
图片尺寸496x527
看完14个病例一起来认识这个表现多样的rathkes囊肿
图片尺寸1080x881
史上最全垂体rathke囊肿的mri诊断与鉴别
图片尺寸960x720
泰安市中心医院卒中中心成功为两例鞍区病变(rathke囊肿)患者实施眉弓
图片尺寸640x677
看到垂体增大,不要忘了 rathke 囊肿
图片尺寸640x443
史上最全垂体rathke囊肿的mri诊断与鉴别
图片尺寸960x720
史上最全垂体rathke囊肿的mri诊断与鉴别
图片尺寸960x720
史上最全垂体rathke囊肿的mri诊断与鉴别
图片尺寸960x720
看完 14 个病例,一起来认识这个表现多样的 rathkes囊肿
图片尺寸640x530
看完14个病例一起来认识这个表现多样的rathkes囊肿
图片尺寸975x508
垂体囊肿
图片尺寸2000x2667
看完14个病例一起来认识这个表现多样的rathkes囊肿
图片尺寸640x353
看到垂体增大,不要忘了 rathke 囊肿
图片尺寸557x376
垂体rathke裂囊肿mr表现
图片尺寸960x720
rathke囊肿轴位t2wi像(a),冠状位t2wi像(b)和矢状位t1wi像(c)显示垂体
图片尺寸1604x548