基底层细胞图片

基底细胞_副本.jpg
图片尺寸1007x555
摄图网_401800295_banner_皮肤基底细胞示意图(非企业商用)
图片尺寸1484x990
口腔内部的组织被称为基底粘膜,由鳞状上皮细胞组成.教育病理.
图片尺寸1200x800
基底细胞增生,上图高倍,示中心部分可见腺上皮被覆,呈单层立方或柱状
图片尺寸661x493
迅速激发基底细胞活力肽能"基源修护套装"在"细胞水平"给予肌肤科学的
图片尺寸720x308
简述一例基底细胞癌的诊治过程
图片尺寸1257x554
基底细胞膜带(bmz)
图片尺寸1080x810
食管鳞癌基底层细胞型高级别局部粘膜内微浸润癌讨论病例山东省消化道
图片尺寸3968x2976
基底细胞癌_基底细胞癌 - 好大夫在线
图片尺寸2224x1558
基础细胞图片
图片尺寸1818x1818
衰老皮肤表皮中,基底层细胞大小,形态及染色性质等变异性增加,表皮
图片尺寸500x375
科学家发现两个恢复皮肤关键胶原蛋白含量的药物皮肤细胞基底膜
图片尺寸550x552
基础细胞图片
图片尺寸750x1091
基底细胞癌及其鉴别诊断(二)
图片尺寸640x440
基底细胞癌_基底细胞癌 - 好大夫在线
图片尺寸1872x2184
食管鳞状细胞癌放化疗考虑基底层高级别讨论病例山东省消化道早癌病理
图片尺寸4608x3456
食管鳞状细胞癌放化疗考虑基底层高级别讨论病例山东省消化道早癌病理
图片尺寸4608x3456
它产生的褐黑色素通过枝杈向旁边传送,然后使表皮的基底细胞层散布黑
图片尺寸704x474
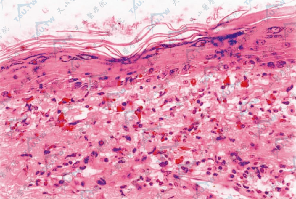
组织病理示基底层液化变性,真皮血管周围炎细胞浸润,噬黑素细胞内外有
图片尺寸1000x672
皮肤病理丨基底细胞癌
图片尺寸1080x1439