基底节出血图片

脑出血(吸收期)患者原系"右侧基底节区出血",现片示:右侧基 - 抖音
图片尺寸1920x1440
右侧基底节区出血(38ml)
图片尺寸2667x2000
左侧基底节区脑出血约45ml
图片尺寸2667x2000
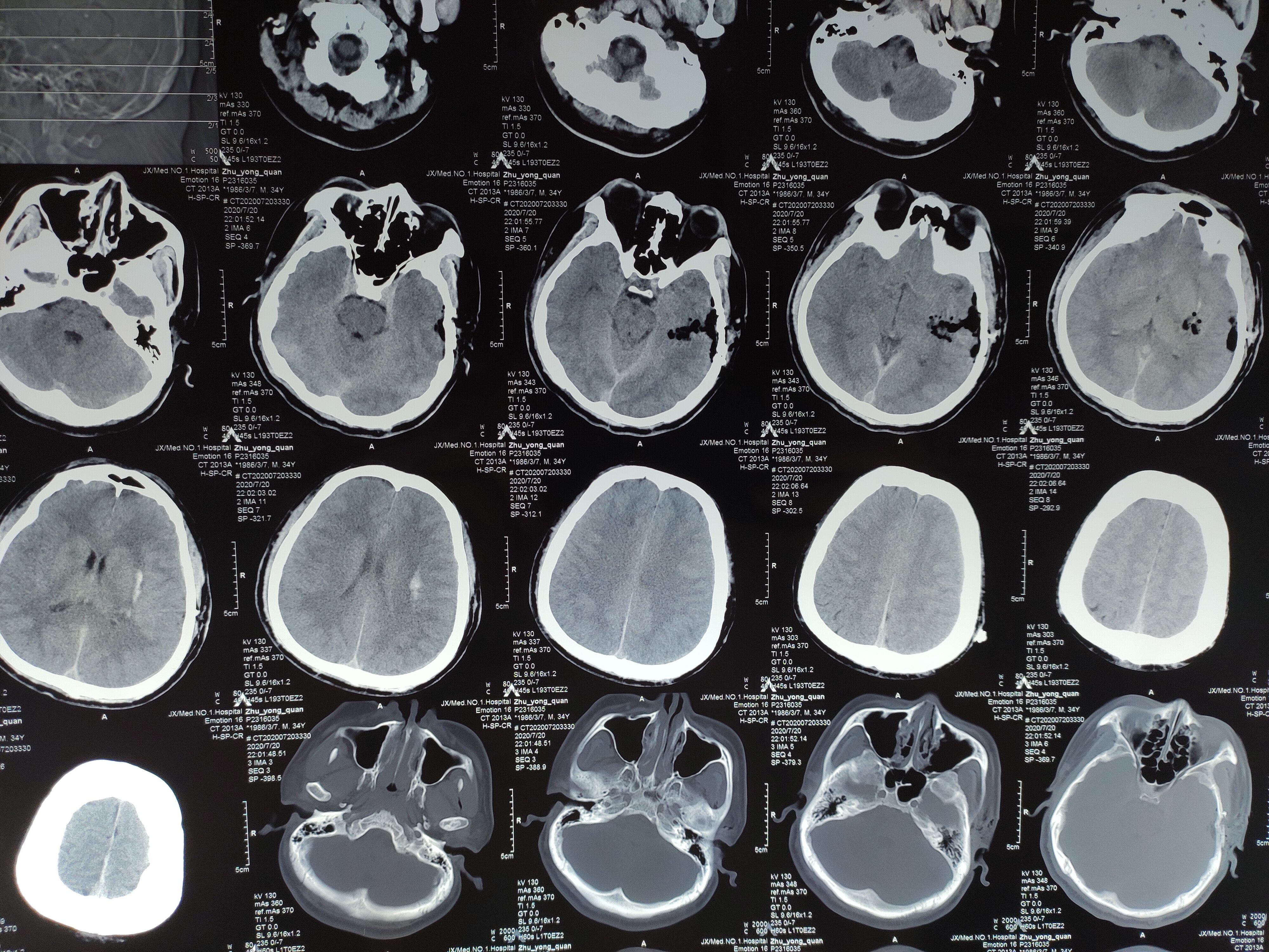
头颅ct提示:左侧基底节区脑出血.出血量大于30ml.
图片尺寸2000x2667
基底节区脑出血 - 好大夫在线
图片尺寸2976x3968
左图为脑部基底节区出血,右图为手术后血肿被彻底清除
图片尺寸1080x580
基底节出血1例
图片尺寸3264x2448
左侧基底节脑出血伴高血压1例
图片尺寸2448x3264
头颅ct提示:左侧基底节区出血,出血量约35ml,右侧基底节区陈旧性脑
图片尺寸2667x2000
患者:施洪印,男,68岁,右侧基底节区脑出血
图片尺寸2000x2667
显微手术治疗基底节区高血压脑出血临床分析
图片尺寸3094x1861
基底节区为何是脑出血的重灾区
图片尺寸969x549
丁香园论坛
图片尺寸3264x1952
患者李某某,57岁,右侧脑室基底节区出血,量约70毫升,术后复查ct
图片尺寸1600x1200
基底节区脑出血 - 好大夫在线
图片尺寸2976x3968
ct提示左侧基底节,丘脑,颞叶,枕叶广泛性脑出血.
图片尺寸3024x4030
患者张永明,男,61岁,诊断为左侧基底节区脑出血
图片尺寸2000x2667
患者:张卫国,男,53岁,右侧基底节区脑出血
图片尺寸2000x2667
患者:张希清,女,50岁,左侧基底节区脑出血,呈嗜睡状态
图片尺寸2000x2667
神经内镜微创治疗基底节脑出血-刘越主治 - 好大夫在线
图片尺寸4000x3000