基底节区位置 解剖

徐桂兴手绘|基底核与基底节区解剖与定位(一)
图片尺寸1080x809
基底节区解剖位置关系图_第2页
图片尺寸920x690
还在傻傻分不清,什么是基底节区吗?基底节区=基底核 内囊 - 抖音
图片尺寸1280x959
基底核与基底节区解剖与定位
图片尺寸1080x809
医生们常说的基底核是? ~~从基础说起!温故而知新! ( - 抖音
图片尺寸1280x959
基底节区解剖与定位
图片尺寸1280x959
基底节区解剖位置关系图ppt模板
图片尺寸1200x4910
基底节区病变ppt课件
图片尺寸920x690
大脑基底节区的解剖08 基底节又称基底核,位于近大脑半球底部的白质
图片尺寸1280x1280
大脑基底节区的解剖08 基底节又称基底核,位于近大脑半球底部的白质
图片尺寸2551x1280
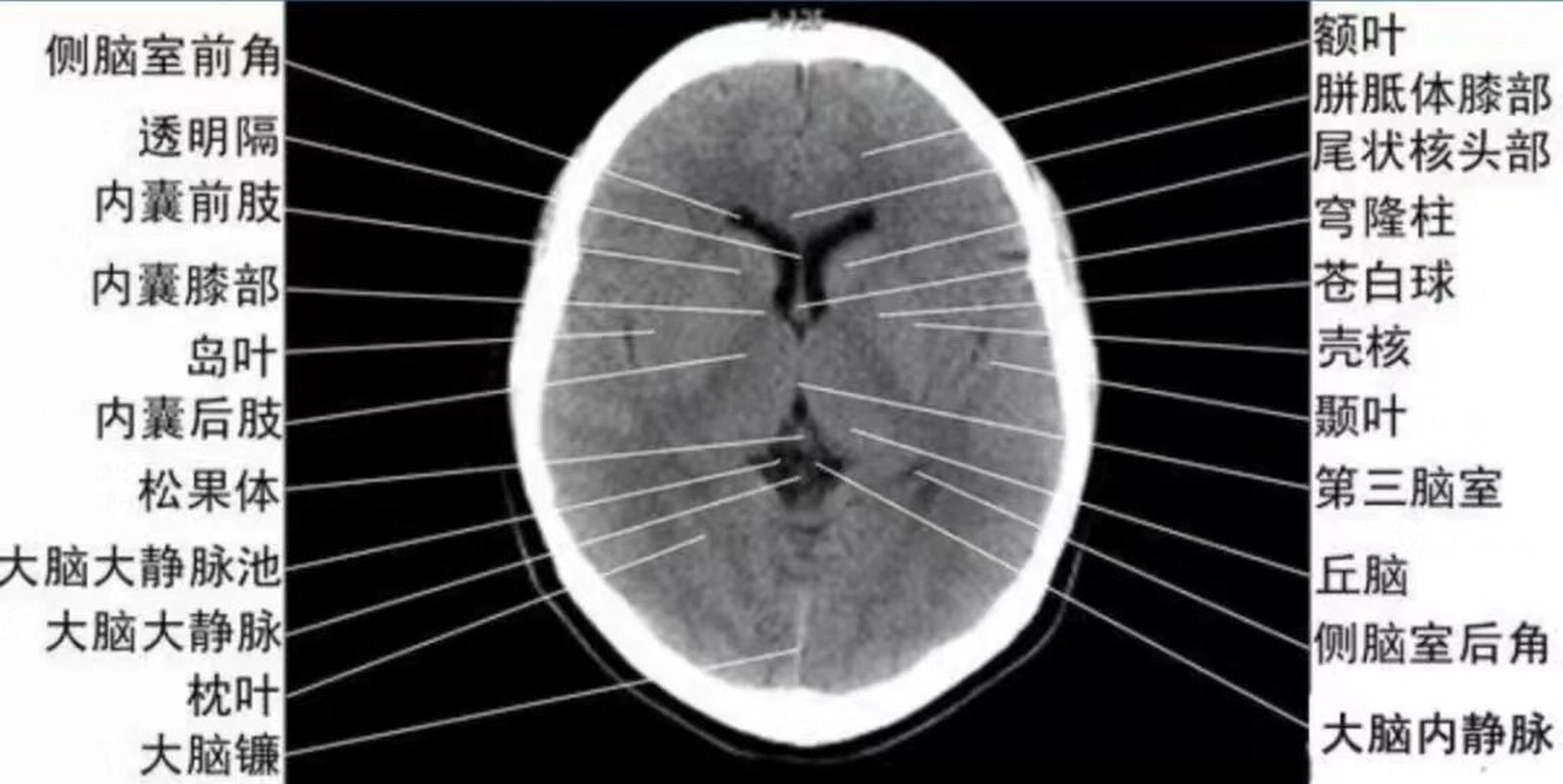
大脑基底节区的解剖08 基底节又称基底核,位于近大脑半球底部的白质
图片尺寸2553x1280
基底节区解剖与定位
图片尺寸1280x959
遇到双侧基底节病灶,这个"老朋友"一定别忘
图片尺寸900x380
基底节区
图片尺寸573x423
基底节
图片尺寸433x286
基底核与基底节区解剖与定位
图片尺寸1080x809
基底核与基底节区解剖与定位
图片尺寸1080x809
每天都在说双侧基底节区腔隙性脑梗塞你真的彻底了解"什么是基 - 抖音
图片尺寸1280x959
基底节区解剖位置关系图
图片尺寸960x720
基底核与基底节区解剖与定位
图片尺寸1080x809