基底节区脑出血

基底节区出血的"三偏"症状#基底节区出血 #偏瘫 #四川 - 抖音
图片尺寸1080x1920
左侧基底节区遭遇脑出血:原因与治疗策略探讨 左侧基底节区脑出血,作
图片尺寸900x1200
#脑出血 #脑出血患者的康复之路 #脑出血恢复期 #健康科普 - 抖音
图片尺寸2160x3840
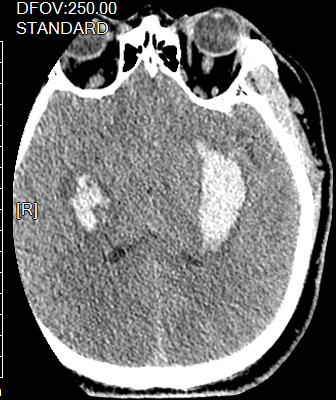
脑出血(吸收期)患者原系"右侧基底节区出血",现片示:右侧基 - 抖音
图片尺寸1920x1440
前几日急诊入院一名右侧基底节区脑出血患者,状态嗜睡,左侧肢体 - 抖
图片尺寸1440x1920
一次能喝三斤黄酒的秦大爷脑出血了……_上海蓝十字脑科医院_同济大学
图片尺寸500x593
82岁老人,左侧基底节区脑出血破入脑室,一侧瞳孔散大.手术 - 抖音
图片尺寸1438x1614
影像诊断头颅一 右基底节出血.
图片尺寸1920x1920
冬季气温降低,导致脑出血高发,老年人需要注意这些!_血压
图片尺寸960x720![基底节出血:复发风险揭秘与预防[挠头] 在脑健康的领域里,基底节出血](https://i.ecywang.com/upload/1/img0.baidu.com/it/u=2919794934,4169132550&fm=253&fmt=auto&app=120&f=JPEG?w=800&h=1067)
基底节出血:复发风险揭秘与预防[挠头] 在脑健康的领域里,基底节出血
图片尺寸960x1280
左侧基底节区脑出血急诊微创穿刺碎吸引流术.
图片尺寸3072x2160
左侧基底节区脑出血微创颅骨钻孔引流术一般如下:首先,通过影像学检查
图片尺寸768x768
请大佬帮我看看后续治疗,基底节区脑出出血破入脑室 - 丁香园论坛
图片尺寸1080x1920
基底节区脑出血 - 好大夫在线
图片尺寸2976x3968
患者:于成东,男,45岁,左侧基底节区脑出血 - 美篇
图片尺寸2000x2667
刘福君 左侧基底节区脑出血 - 美篇
图片尺寸859x1527
微创&精准&智能丨我院完成首例机器人辅助下脑出血手术
图片尺寸640x729
形形色色脑出血-邢学民副主任医师-爱问医生
图片尺寸336x400
有的才20ml却开颅脑干脑叶医生说出真相基底节区脑室有的40ml保守治疗
图片尺寸620x1160
锥颅双管引流高血压脑出血2例(近期病例汇报)酒泉市医院医院神经外科
图片尺寸2667x2000