墨菲斯征

什么是胆囊墨菲斯征?
图片尺寸828x474
什么是胆囊墨菲斯征?_胆囊炎_胆囊炎症状表现 - 好大夫在线
图片尺寸500x375
继之绞痛,向右肩及背部放射, 右上腹明显压痛,肌痉挛,murphy征阳性
图片尺寸1080x810
什么是murphy征charcot三联征谈胆囊炎与胆管炎的典型症状
图片尺寸635x885
什么是murphy征,charcot三联征?谈胆囊炎与胆管炎的典型症状
图片尺寸637x865
2,体征 murphy(墨菲)征阳性,右上腹可能触 及肿大的胆囊,并有压痛和肌
图片尺寸1080x810
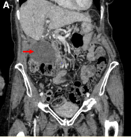
天天读片 | 脐周隐痛并左侧中下腹部火烧样疼痛
图片尺寸960x720
考试常考基础且经典类型比如下面几道题:1,murphy征阳性常见什么疾病?
图片尺寸1080x1439
影像学检查
图片尺寸1080x1080
学校类型 医学院校 墨菲氏征(murphy sign)患者在检查时,医生往往叫
图片尺寸268x201
icuppt 体格检查 腹部饱满,右上腹有轻度压痛,无反跳痛,墨菲氏征
图片尺寸1080x810
患者墨菲氏征阳性,是急性胆囊炎吗?|病例学习_腾讯新闻
图片尺寸500x524
患者墨菲氏征阳性,是急性胆囊炎吗?|病例学习_腾讯新闻
图片尺寸500x522
患者男50岁反复上腹痛4月加重3天墨菲征阳性
图片尺寸2666x2000
什么是murphy征,charcot三联征?谈胆囊炎与胆管炎的典型症状
图片尺寸645x344
胆囊切除术后切口不愈(附图片)请高手指教.
图片尺寸600x450
全面眼睛检查
图片尺寸816x1054
②murphy(墨菲)征阳性.
图片尺寸1080x810
诊断学神经检查
图片尺寸960x1279
男45岁右季肋区疼痛murphy征阳性b超提示胆囊息肉ct所见如图最可能的
图片尺寸361x533