墨菲氏征图片

什么是胆囊墨菲斯征?
图片尺寸828x474
墨菲氏征的名词解释是什么(墨菲氏征)_百科-涨口碑
图片尺寸1280x1706
墨菲氏征的名词解释是什么(墨菲氏征)_百科-涨口碑
图片尺寸1982x2776
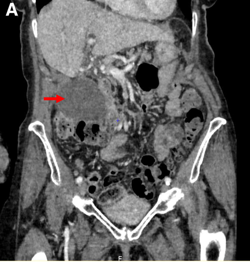
患者男50岁反复上腹痛4月加重3天墨菲征阳性
图片尺寸2666x2000
护考墨菲征压痛点
图片尺寸1600x1200
患者墨菲氏征阳性,是急性胆囊炎吗?|病例学习-爱妻自媒体
图片尺寸500x522
患者墨菲氏征阳性是急性胆囊炎吗病例学习
图片尺寸500x524
患者女66岁间歇性右上腹疼痛不适5年加重1周右上腹压痛阳性墨菲征阳性
图片尺寸2666x2000
毒药
图片尺寸480x324
论坛
图片尺寸776x1048
戒酒6 年后突发肝功能异常?呕血,黑便,全身多脏器系统损害
图片尺寸800x641
阿肝正传 的想法: 墨菲氏征murphy | 墨菲氏征是医生进行体格检查的
图片尺寸1707x1280
什么是murphy征,charcot三联征?谈胆囊炎与胆管炎的典型症状
图片尺寸645x344
腹未触及包块,上腹部隐约压痛,无反跳痛,肝脾肋下未触及,墨菲氏征阴性
图片尺寸600x840
斯诺克世锦赛:中国斯诺克小将斯佳辉逆袭,绝杀墨菲进入八强!
图片尺寸640x960
胆囊触诊
图片尺寸229x190
评估检查骨科疼痛科全身体格检查方法汇总
图片尺寸960x720
《法医学杂志》2012年第1期 79-80,共2页钱红孙学春刘科奇高峰于晓军
图片尺寸970x1404
颅脑这些表现千万别记错报告里面您会怎么写呢
图片尺寸760x762
2,体征 murphy(墨菲)征阳性,右上腹可能触 及肿大的胆囊,并有压痛和肌
图片尺寸1080x810