声门上型喉癌

喉癌一临床表现与诊断
图片尺寸779x460
支撑喉镜下鼻内镜辅助激光治疗早期声门型喉癌13例报告_黄益灯
图片尺寸721x1133
喉癌一及时发现及时诊断
图片尺寸499x233
声门旁间隙喉癌的诊断及治疗
图片尺寸750x1334
喉癌及下咽癌的临床分类分期
图片尺寸686x284
喉癌(一)临床表现与诊断
图片尺寸680x482
声门型喉癌1例
图片尺寸1080x1314
不足之处是如遇咽反射敏感,舌肥厚或声门暴露不充分的病人,手术就会
图片尺寸300x243
径口微创手术治疗声门上型喉癌--北京大学第一医院 肖水芳教授
图片尺寸1116x637
喉癌(一)临床表现与诊断
图片尺寸680x520
跨声门癌 喉癌同时侵犯声 门上中下区,粘 膜下生长,喉镜 检查常阴性
图片尺寸1080x810
我院耳鼻喉科成功完成内镜支撑喉镜低温等离子声门型喉癌切除术
图片尺寸1000x562
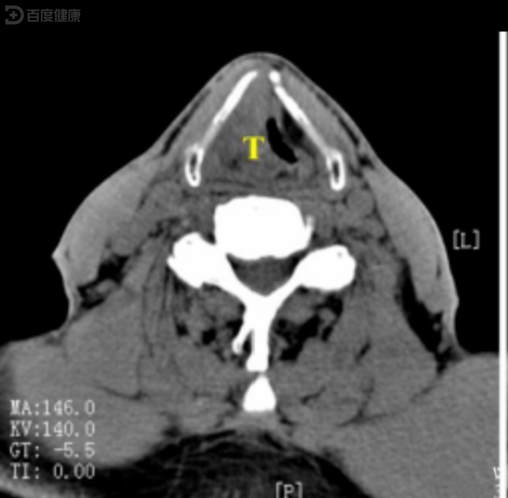
ct诊断:右喉癌(声门上型),伴右颈淋巴结转移.
图片尺寸413x413
喉癌的影像学诊断_声门
图片尺寸709x716
径口微创手术治疗声门上型喉癌--北京大学第一医院 肖水芳教授
图片尺寸1135x664
喉癌的ct,mri诊断ppt
图片尺寸1080x810
声门型喉癌的ct分析
图片尺寸887x1205
声门型喉癌的治疗原则(刘娅).ppt
图片尺寸141x200
支撑喉镜下co2激光手术治疗早期声门型喉癌临床效果分析.doc 10页
图片尺寸792x1120
喉癌 b.会厌癌 c.声带癌 d.声门下区癌 e.跨声门型癌
图片尺寸700x596