复合体树脂

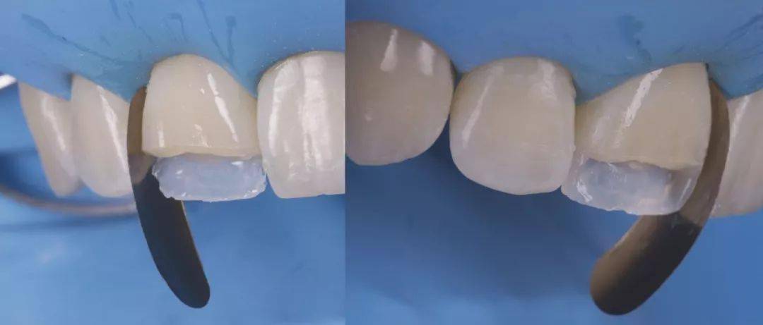
牙齿"晓""技"|基本线技术-后牙复合树脂的快速解剖修复
图片尺寸962x646
gc 幻彩纳米复合树脂
图片尺寸400x400
热固性树脂基复合材料预浸料使用
图片尺寸640x444
这些复合树脂通常由八种不同的材料组成,包括树脂基体和纤维增强材料.
图片尺寸640x427
gc全新纳米光固化复合树脂,一款性价比超高的新品树脂,平均4 - 抖音
图片尺寸1920x1280
义获嘉伟瓦登特/ivoclarvivadent te-econom plus 复合树脂 补充装牙
图片尺寸2000x2000
亚什兰树脂-广西蜀川复合材料有限公司
图片尺寸1000x666
这些精美的碳纤维复合材料都是高性能的环氧树脂体系与碳纤维材料通过
图片尺寸649x362
玻璃钢复合材料生产中树脂基体材料选择
图片尺寸640x782
增韧型复合材料专用含浸树脂 中温固化预浸料环氧树脂
图片尺寸640x523
不饱和聚酯树脂在复合材料中的创新应用
图片尺寸640x427
【病例分享】中切牙的修复:复合树脂直接修复vs全瓷贴面修复
图片尺寸1080x461
牙科材料上海二医树脂 光固化复合树脂练习树脂美容院补牙 包邮
图片尺寸800x800
义获嘉tetric n-collection光固化复合树脂【647396】-大兴商城
图片尺寸1500x1500
3m光固化复合树脂(p60型)
图片尺寸580x580
玻璃钢树脂e51环氧树脂w93固化剂环氧胶透明树脂胶复合材料
图片尺寸310x310
牙科材料登士柏dentsply spectrum03tph3光固化复合树脂 乳光树脂
图片尺寸800x800
树脂及复合材料向"绿色化,功能化,精细化,高性能化"提质升级
图片尺寸1000x563
那么,复合树脂井盖还有哪些优势特点呢?
图片尺寸640x480
可乐丽菲露 玛吉斯特光固化复合树脂2ml(3.6g)牙科口腔科材料
图片尺寸800x800