外囊出血

怀孕后突然流血 见图 请问是自然流产吗 图片是孕囊流出来了吗
图片尺寸400x400
【病例讨论】外囊出血10余毫升,突发脑疝,望各位老师病情分析
图片尺寸639x637
今天一直肚子痛,昨天到今天还一直流血,这流出来的是孕囊吗
图片尺寸960x1280
胎囊吗?
图片尺寸478x640
脑出血患者的心电图怎么了?
图片尺寸1080x836
宫外孕手术后出血,有类似胚胎的东西
图片尺寸780x1040
高血压脑出血情况危急 37岁患者经及时有效救治后康复出院
图片尺寸1080x1079
医生好 请问一下 我不知道是不是药流失败了 昨天
图片尺寸400x400
6种不同部位脑出血影像及临床表现
图片尺寸602x679
非创伤性颅内出血:演化过程,自发性,高血压性丨影像及临床诊断要点
图片尺寸882x433
其它 左侧外囊血肿内镜辅助清除术(18)激光定位 写
图片尺寸1270x1199
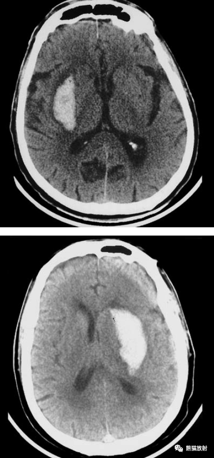
检查后,诊断为脑疝,颅脑ct提示右侧外囊,基底节区脑出血并破入脑室
图片尺寸640x853
漫谈高血压性脑出血
图片尺寸533x360
患者:李昌培,男,49岁,左侧颞顶叶脑出血
图片尺寸2000x2667
2019年1月9日脑mri示脑室出血完全吸收,左侧外囊和侧脑室旁陈旧性梗死
图片尺寸3714x2178
脑实质内出血丨演变分布ct表现
图片尺寸441x941
关于脑出血你必须要知道的基本知识
图片尺寸1025x625
检查后,诊断为脑疝,颅脑ct提示右侧外囊,基底节区脑出血并破入脑室
图片尺寸640x711
非创伤性颅内出血演化过程自发性高血压性丨影像及临床诊断要点
图片尺寸862x433
基底节区脑出血纵轴钻孔引流术
图片尺寸1200x900