外阴paget病

第3届长江中游城市群皮肤科黄鹤高峰论坛暨2021年武
图片尺寸894x498
怎样治疗乳腺paget病
图片尺寸500x334
真的是湿疹吗警惕pagets病
图片尺寸731x668
这个部位的湿疹别轻视,小心湿疹样乳腺病!_乳头_检查_paget
图片尺寸767x665
真的是湿疹吗警惕pagets病
图片尺寸763x677
乳腺癌的影像诊断
图片尺寸1080x810
派杰氏病
图片尺寸758x566
pagets病
图片尺寸121x220
真的是湿疹吗警惕pagets病
图片尺寸752x678
每日一例1205乳腺paget病病例精读分析
图片尺寸960x720
原创乳头特殊的湿疹样病变paget病
图片尺寸2176x1581
外阴paget病一项全国回顾性队列研究
图片尺寸901x233
和湿疹药物治疗2周不见效就要高度警惕乳腺癌了外阴瘙痒可能由阴虱
图片尺寸750x519
更年期妇女常见的外阴病变有哪些
图片尺寸400x300
阴囊瘙痒起疹经久不愈要排除一种少见的皮肤癌症阴囊湿疹样癌paget病
图片尺寸1200x900
派杰氏病
图片尺寸752x560
pagets病
图片尺寸100x200
乳头paget病少见易漏诊你遇到过吗
图片尺寸760x574
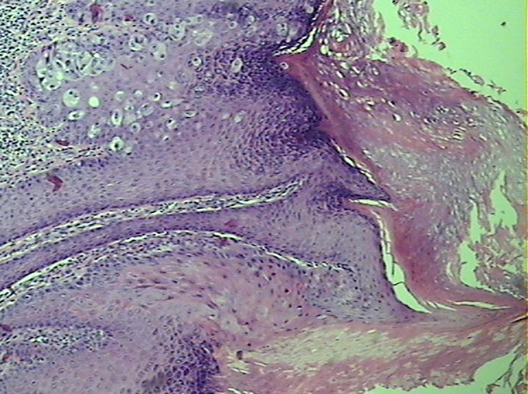
表皮基底及棘层见paget细胞肿瘤细胞胞质透亮,细胞核
图片尺寸640x480
乳头paget病少见易漏诊你遇到过吗
图片尺寸636x434