多发内生软骨瘤病

多发内生性软骨瘤
图片尺寸854x640
多发骨软骨瘤病例请问各位老师应该如何处理为好
图片尺寸682x800
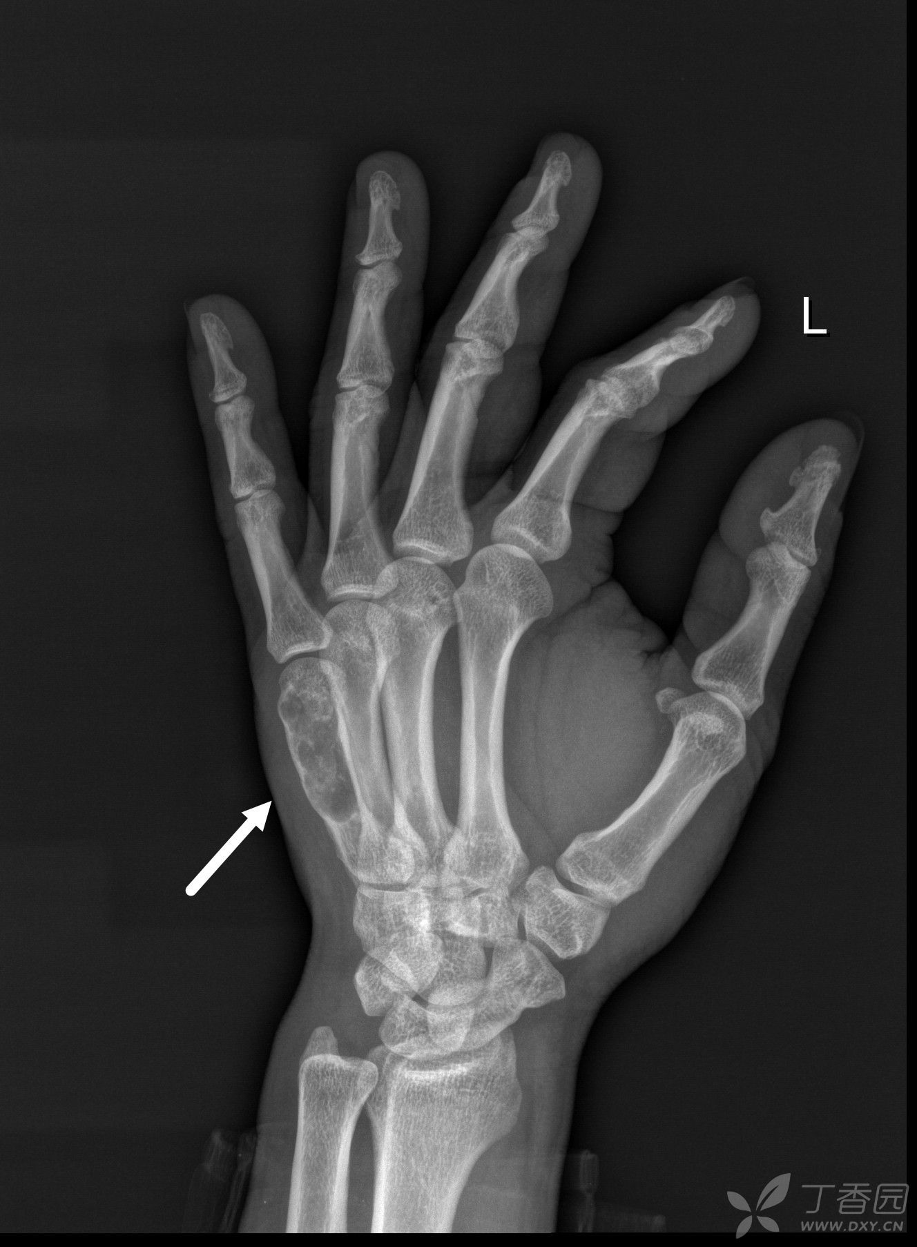
分享几例内生软骨瘤(未经病理证实),欢迎讨论,批评指正!
图片尺寸1328x1806
内生性软骨瘤的病因
图片尺寸482x319
内生软骨瘤是一种什么病?得了内生软骨瘤怎么办? - 好大夫在线
图片尺寸853x1600
原创内生软骨瘤
图片尺寸1195x551
多发的内生软骨瘤即ollier综合征较少见,而多发的内生软骨瘤合并软
图片尺寸957x404
【典型病例】内生软骨瘤
图片尺寸1080x1294
求助:内生软骨瘤与外生软骨瘤到底如何区别?
图片尺寸842x632
cl2759多发性骨软骨瘤病
图片尺寸800x916
爱心医生 向ta提问 病情分析: 多发性骨软骨瘤病的存在并不一定需要作
图片尺寸239x245
内生软骨瘤?
图片尺寸806x770
内生软骨瘤ct诊断(网络远程会诊病例)
图片尺寸480x292
内生性软骨瘤病是一组少见的,位于骨髓腔内的多发性良性软骨性肿瘤.
图片尺寸1080x810
求助:内生软骨瘤与外生软骨瘤到底如何区别?
图片尺寸823x666
骨骼解剖 内生软骨瘤病
图片尺寸1080x810
切除肿瘤,搔刮邻近髓腔d.纤维膜,软骨帽,病骨c.
图片尺寸562x424
骨关节系统影像报告书写之内生软骨瘤#医学影像 #骨科 #骨肿 - 抖音
图片尺寸1080x2244
内生软骨瘤
图片尺寸472x576
内生软骨瘤
图片尺寸1080x810