多发肺结节

体检发现多发肺结节怎么办?都是恶性的吗?都需要手术切除吗?
图片尺寸640x480
63岁,左下肺多发结节 63岁于先生,在2022年10月份和 - 抖音
图片尺寸1080x1920
65岁双肺多发磨玻璃结节介于原位到微浸润腺癌之,别急,可以等等
图片尺寸640x883
双肺多发结节,斑片,实变影
图片尺寸4096x3072
双肺多发结节,斑片,实变影
图片尺寸4096x3072
双肺多发结节,斑片,实变影
图片尺寸4096x3072
双上肺多发磨玻璃结节,多家医院咨询,均建议手术治疗!
图片尺寸1920x1440
问诊分析:发现已经5年了的肺多发结节之主病灶该手术了吗?
图片尺寸1639x1280
女性40岁,双肺多发结节
图片尺寸871x1355
双肺多发小结节,建议定期复查是怎么回事?_治疗_患者_肺部
图片尺寸931x953
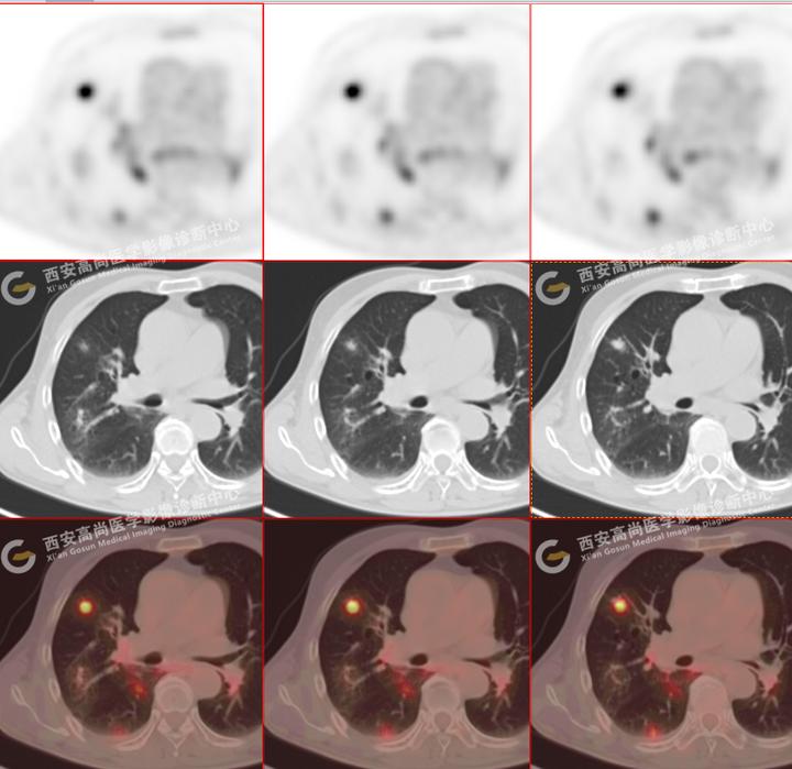
【高尚病例】多发肺结节病例:重症感染 | 惠普尔养障体肺炎_密度_症状
图片尺寸1080x909
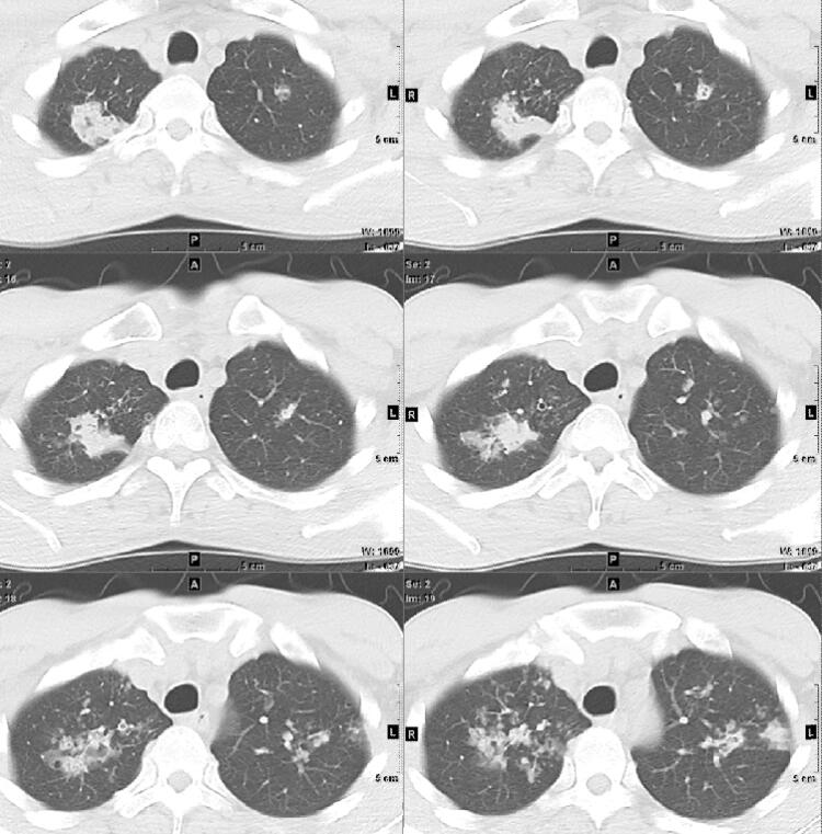
病例1 双肺多发结节 男47岁,胸闷,胸痛,咳嗽,发热10余天;家庭常年行
图片尺寸750x761
女性40岁,双肺多发结节
图片尺寸1079x1166
多发肺结节病例:重症感染 | 惠普尔养障体肺炎
图片尺寸720x694
8):后怕|差点酿大错!多发肺结节诊疗,运气只在一念间!
图片尺寸1024x864
多发肺结节 听我一句劝 不要轻易做手术! 肺结节越多,我越不建议手术!
图片尺寸978x1302
病例分享:右肺多发结节,良性的切了,恶性的却留下了!-medsci.cn
图片尺寸1080x1217
今天下午接诊了一位多发性肺结节的患者,左肺下叶有一个3mm的微小
图片尺寸1853x1280
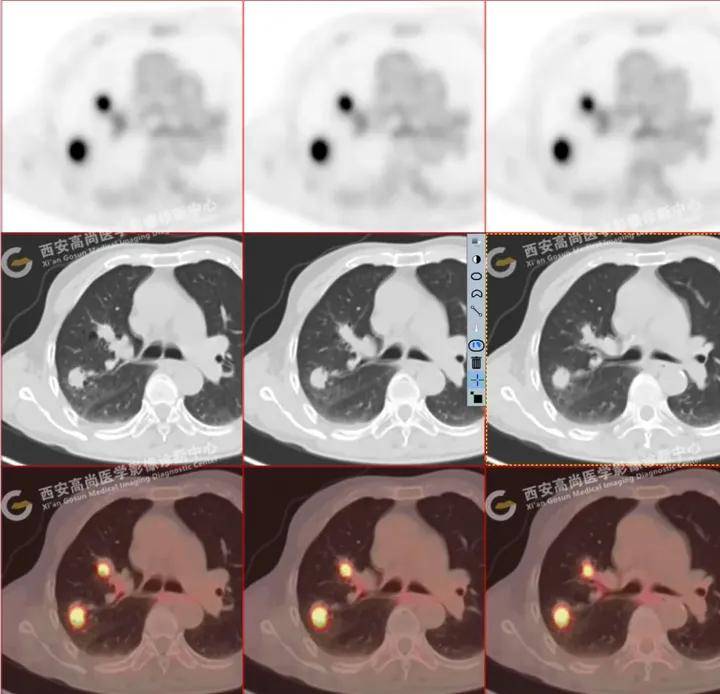
81岁男性,多发肺结节病例:重症感染 | 惠普尔养障体肺炎
图片尺寸720x699
西藏结友做了叶切抓大放小仍多发肺结节,别着急,二次手术需谨慎
图片尺寸560x616