多囊肾图片多囊肝

多囊肾多囊肝
图片尺寸406x313
多囊肾为遗传性疾病,终末期发展为尿毒症,需长期血液透析治疗,常常
图片尺寸600x400
多囊肝多囊肾严重吗 多囊肝多囊肾可以买什么保险
图片尺寸500x439
显性遗传性多囊肾(dpkd):多囊肝
图片尺寸504x331
多囊肝多囊肾
图片尺寸1518x1234![【病例讨论】女,52岁,多囊肝伴双肾"壮观"多囊肾 [病例帖]](https://i.ecywang.com/upload/1/img0.baidu.com/it/u=2626341800,2230286042&fm=253&fmt=auto&app=138&f=JPEG?w=500&h=500)
【病例讨论】女,52岁,多囊肝伴双肾"壮观"多囊肾 [病例帖]
图片尺寸512x512![【病例讨论】女,52岁,多囊肝伴双肾"壮观"多囊肾 [病例帖]](https://i.ecywang.com/upload/1/img1.baidu.com/it/u=573313817,1713476992&fm=253&fmt=auto&app=138&f=JPEG?w=500&h=500)
【病例讨论】女,52岁,多囊肝伴双肾"壮观"多囊肾 [病例帖]
图片尺寸512x512
猫疾病|当我知道我家猫有多囊肾病的时候,我崩溃了
图片尺寸600x458
多囊肾绝对让你震撼
图片尺寸3000x4000
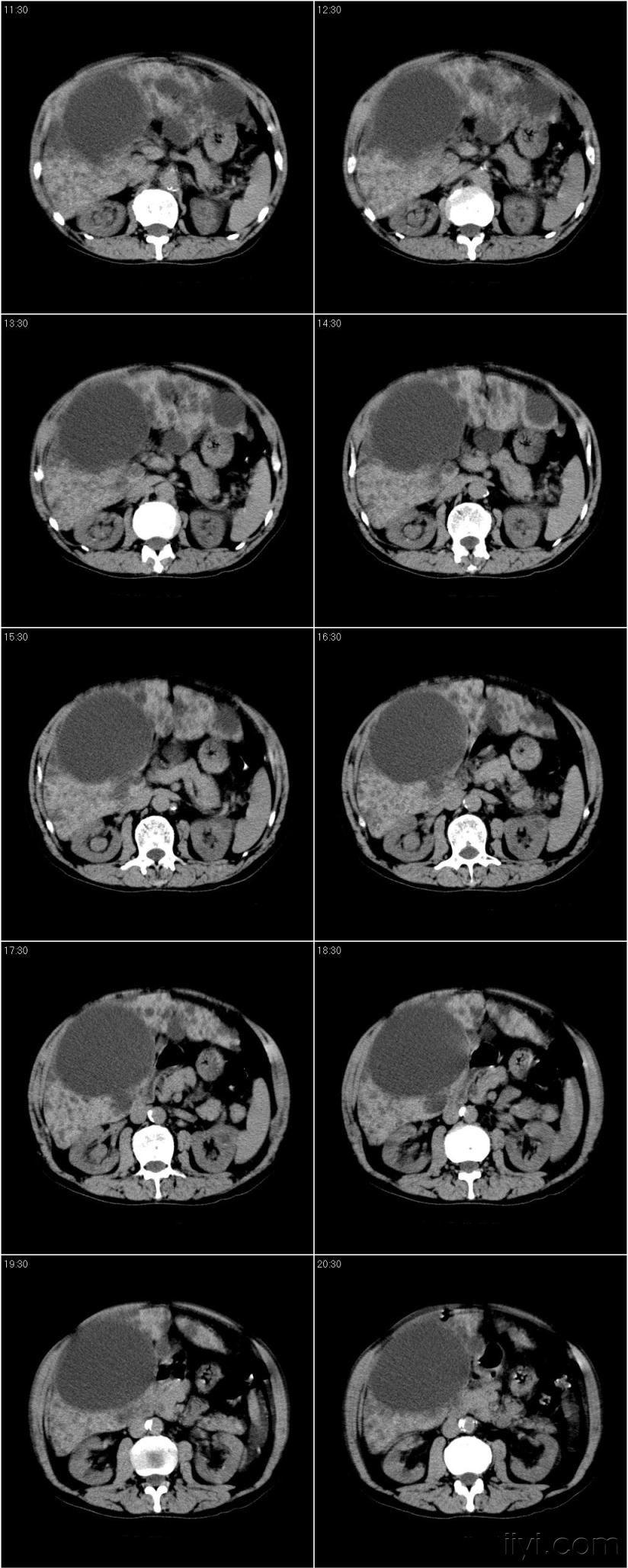
多囊肝多囊肾家族四成员上腹部ct影像表现汇总
图片尺寸750x562
治疗多囊肾多囊肝三分靠治七分靠养(组图)
图片尺寸600x591
多囊肝胆总管囊肿多囊肾
图片尺寸824x2056
多囊肝
图片尺寸400x594
多囊肾的介绍
图片尺寸639x476
【多囊肾能活多久】_多囊肾的治疗_多囊肝多囊肾_多囊肾_生活养生
图片尺寸600x400
多囊肾多囊肝
图片尺寸408x374
多囊肾
图片尺寸300x215![值得收藏的多囊肾影像,密集恐惧症勿进 [病例帖]](https://i.ecywang.com/upload/1/img2.baidu.com/it/u=1230461552,3524635323&fm=253&fmt=auto&app=138&f=JPEG?w=666&h=500)
值得收藏的多囊肾影像,密集恐惧症勿进 [病例帖]
图片尺寸980x736
多囊肾多囊肝
图片尺寸402x358
多囊肾照片 (画面可能让你很不舒服,请三思而进)
图片尺寸600x450