多指图片

其它 小儿多指畸形的护理 写美篇1,Ⅰ型多指:畸形
图片尺寸619x440
多指畸形哪家医院看的好,治疗多指畸形哪个医生好
图片尺寸744x697
多指变形记
图片尺寸1200x1600
孩子多指该怎么办
图片尺寸1073x1431
成人多指侧弯.#多指 多指因切除不彻底,手指弯曲;多指并不是 - 抖音
图片尺寸1080x1920
请多指教
图片尺寸720x720
多指一例!
图片尺寸2432x3648
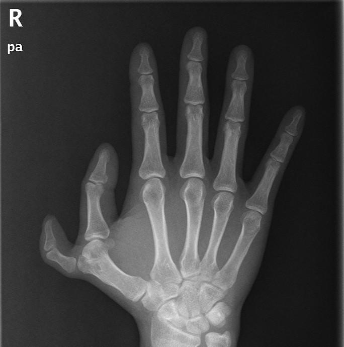
术前外观3,骨关节相连多指:复杂的多指畸形手术
图片尺寸684x690
周口哪个医院可以做多指切除手术
图片尺寸360x480
1587699354.png
图片尺寸3000x3000
多指不是聪明指别给孩子徒增童年烦恼
图片尺寸600x572
mmexport1599461316547.jpg
图片尺寸888x666
其它 远节指骨完全分裂型多指矫型病例1例 写美篇
图片尺寸558x744
img_20201111_084137.jpg
图片尺寸2720x5632
多指不是恩赐,不要因为迷信误了孩子一生
图片尺寸576x768
您所咨询的多指趾常见问题答案在这里
图片尺寸949x833
多指手术
图片尺寸296x300
多指(趾)畸形概述(海量手术实例!
图片尺寸600x450
其它 多指变形记 写美篇门诊看了之后,我让他们回去
图片尺寸1200x1600
拇指多指治疗实例_陈江海医生文章_华中科技大学同济
图片尺寸700x1018